KBA.62 (Melanoma Associated Antigen) Antibody [KBA.62]

In Stock
Catalog Number Formulation Size Price
MSM1-895-P0
Purified Ab with BSA and Azide at 200ug/ml
20ug
$259.00
MSM1-895-P1
Purified Ab with BSA and Azide at 200ug/ml
100ug
$559.00
MSM1-895-P1ABX
Purified Ab WITHOUT BSA and Azide at 1.0mg/ml
100ug
$559.00
Flat Rate Domestic: $95 | Orders outside the US - Contact Us for Order Information | Ships next business day

Applications & Dilutions

Applications Tested Dillution Protocol Note
Immunofluorescence (IF)
1-3ug/ml
Immunohistochemistry (IHC)
1-2ug/ml
30 min at RT. Staining of formalin-fixed tissues requires heating tissue sections in 10mM Tris with 1mM EDTA, pH 9.0, for 45 min at 95°C followed by cooling at RT for 20 minutes

Summary

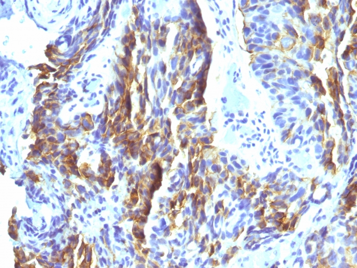
KBA.62 is a novel anti-melanoma antibody. It reacts positively against melanocytic tumors but not other tumors, thus demonstrating specificity and sensitivity. Moreover, it reacts positively against junctional nevus cells but not intradermal nevi, and against fetal melanocytes but not normal adult melanocytes. KBA.62 antibody is useful in identifying malignant melanomas. Metastatic amelanotic melanoma can often be confused with a variety of poorly differentiated carcinomas, large cell lymphomas, sarcomas, spindle cell carcinomas and various types of mesenchymal neoplasms. A keratin-negative, vimentin-rich neoplasm that immuno-reacts with antibody to S100 protein and with KBA.62 antibody is, with rare exception, a melanoma. Anti-KBA.62 is a useful additional marker for melanoma, specifically in desmoplastic/spindle cell cases and in the context of micro-metastasis in sentinel lymph node.

Product Properties & Targets

Antibody Type
Host
Mouse
Species Reactivity
Isotype / Light Chain
IgG1 / Kappa
Cellular Localization
N/A
Gene Name
N/A
Positive Control
SK-MEL-13 and SK-MEL-19 melanoma cell lines. Human melanoma tissues.
Immunogen
Human KAL cells derived from lymph node metastasis of malignant melanoma
Alternate Names
N/A, N/A, Human Melanoma Associated Antigen; KBA.62

Database Links

Entrez Gene ID
SwissProt
N/A

Additional Information

Clone
KBA.62
Chromosome Location
Not Known
Mol. Weight of Antigen
135 and 128kDa and two weak bands of 88 and 73kDa)|Multiple (140

Functions

  • N/A

Key References

  • E Cohen-Knafo, T al Saati, J Aziza, E Ralfkiaer, J Selves, B Gorguet, and G Delsol. Production and characterisation of an antimelanoma monoclonal antibody KBA.62 using a new melanoma cell line reactive on paraffin wax embedded sections. J Clin Pathol. 1995; 48(9): 826-831.
  • Cecile Pages et. al. KBA.62: a useful marker for primary and metastatic melanomas. Human Pathology 39(8):1136-1142; 2008.

Storage & Stability

Antibody with azide - store at 2 to 8°C. Antibody without azide - store at -20 to -80°C. Antibody is stable for 24 months. Non-hazardous. No MSDS required.

Limitations

This antibody is available for research use only and is not approved for use in diagnosis.

Supplied as

200ug/ml of Ab Purified from Bioreactor Concentrate by Protein A/G. Prepared in 10mM PBS with 0.05% BSA & 0.05% azide. Also available WITHOUT BSA & azide at 1.0mg/ml.

Warranty

There are no warranties, expressed or implied, which extend beyond this description. Company is not liable for any personal injury or economic loss resulting from this product.

Reviews

There are no reviews yet.

Be the first to review “KBA.62 (Melanoma Associated Antigen) Antibody”

Your email address will not be published. Required fields are marked *

PARTNERSHIP OPPORTUNITIES

NeoBiotechnologies holds Exclusive rights to 10,000 recombinant and hybridoma antibody products, available for Licensing or Collaboration.

LETS TALK