
Formalin-fixed, paraffin-embedded human Prostate Carcinoma stained with TAG-72 Mouse Monoclonal Antibody (CA72/733).

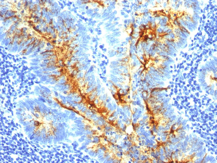
Formalin-fixed, paraffin-embedded human Ovarian Carcinoma stained with TAG-72 Mouse Monoclonal Antibody (CA72/733).
Recognizes an oncofetal antigen of 220kDa, identified as a tumor-associated glycoprotein (TAG-72) with properties of a mucin. This MAb defines the mucin-carried sialylated-Tn epitope. TAG-72 is usually expressed by adenocarcinomas, but is negative in mesotheliomas. Studies have reported that this antibody has 80% sensitivity and 93% specificity for pulmonary adenocarcinoma. Therefore, TAG-72 is a useful marker to distinguish between mesothelioma and adenocarcinoma. However, false positive reactions can occur so results must be interpreted with the utmost caution. This antibody may be useful in the differentiation of non-small cell carcinomas from small cell carcinomas of the lung. The combined use of anti-TAG-72 and anti-GCDFP-15 is valuable in the diagnosis of apocrine carcinoma.
There are no reviews yet.