Testosterone Antibody [4E1G2]

In Stock
Catalog Number Formulation Size Price
MSM1-250-P0
Purified Ab with BSA and Azide at 200ug/ml
20ug
$259.00
MSM1-250-P1
Purified Ab with BSA and Azide at 200ug/ml
100ug
$559.00
MSM1-250-P1ABX
Purified Ab WITHOUT BSA and Azide at 1.0mg/ml
100ug
$559.00
Flat Rate Domestic: $95 | Orders outside the US - Contact Us for Order Information | Ships next business day

Applications & Dilutions

Applications Tested Dillution Protocol Note
Immunohistochemistry (IHC)
1-2ug/ml
30 min at RT. Staining of formalin-fixed tissues requires heating tissue sections in 10mM Tris with 1mM EDTA, pH 9.0, for 45 min at 95°C followed by cooling at RT for 20 minutes

Summary

This MAb is highly specific to testosterone. Its affinity constant for testosterone is ~1010M-1. In competitive binding immunoassay, it reacts with testosterone 100%, 11-beta-hydroxy testosterone 3.3%, 17-alpha-methyl testosterone

Product Properties & Targets

Antibody Type
Host
Mouse
Applications
Species Reactivity
Isotype / Light Chain
IgG1 / Kappa
Cellular Localization
N/A
Gene Name
N/A
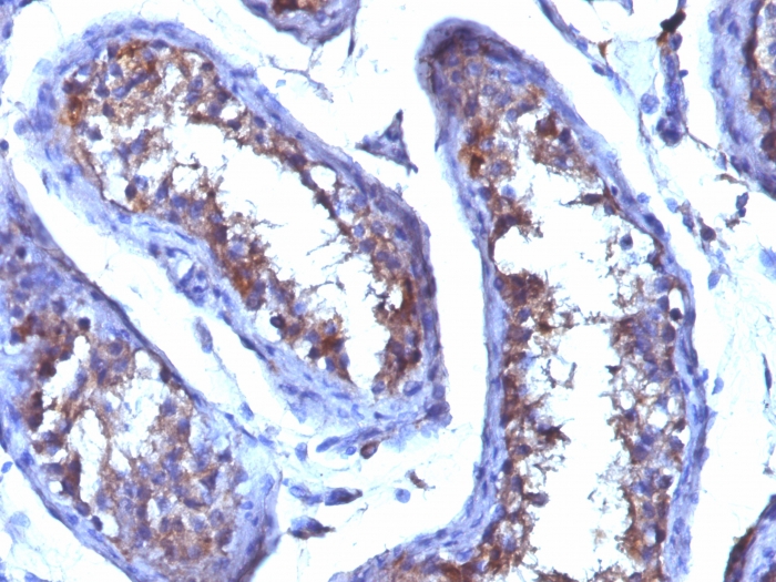
Positive Control
Interstitial or Leydid cells in testis.
Immunogen
Testosterone 3 CMO conjugated to BSA
Alternate Names
N/A, N/A, 17β-Hydroxy-3-oxo-4-androstene, 17β-Hydroxy-4-androsten-3-one, 4-Androsten-17β-ol-3-one,trans-Testosterone

Database Links

Entrez Gene ID
SwissProt
N/A

Additional Information

Clone
4E1G2
Chromosome Location
Not Applicable
Mol. Weight of Antigen
288.42Da

Functions

  • N/A

Key References

  • Fantl, V.E. and Wang, D.Y. 1983. Characterisation of monoclonal antibodies raised against Testosterone. J. Steroid Biochem. 19: 1605-1610.

Storage & Stability

Antibody with azide - store at 2 to 8°C. Antibody without azide - store at -20 to -80°C. Antibody is stable for 24 months. Non-hazardous. No MSDS required.

Limitations

This antibody is available for research use only and is not approved for use in diagnosis.

Supplied as

200ug/ml of Ab Purified from Bioreactor Concentrate by Protein A/G. Prepared in 10mM PBS with 0.05% BSA & 0.05% azide. Also available WITHOUT BSA & azide at 1.0mg/ml.

Warranty

There are no warranties, expressed or implied, which extend beyond this description. Company is not liable for any personal injury or economic loss resulting from this product.

Reviews

There are no reviews yet.

Be the first to review “Testosterone Antibody”

Your email address will not be published. Required fields are marked *

PARTNERSHIP OPPORTUNITIES

NeoBiotechnologies holds Exclusive rights to 10,000 recombinant and hybridoma antibody products, available for Licensing or Collaboration.

LETS TALK