Prostate Cancer Antibodies

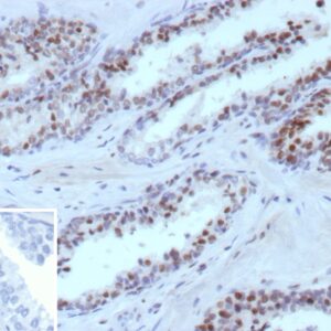
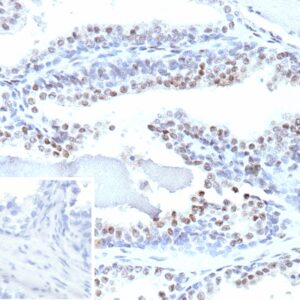
Prostate cancer is a prevalent malignancy among men. Most cases of prostate cancer are detected by measuring prostate-specific antigen (PSA) levels in the blood. Other biomarkers provide insights into disease prognosis and for determining the optimal treatment. The detection of prostate cancer protein biomarkers using Western blots, ELISA, co-immunoprecipitation, and immunohistochemistry is vital for the early detection, prognosis/monitoring, and treatment of the disease.

NeoBiotechnologies proudly offers a comprehensive selection of antibodies for prostate cancer research (see the table below), with a particular emphasis on IHC-validated antibodies. Our antibodies targeting prostate cancer protein markers are rigorously validated for specificity, ensuring precise and reliable results.

Notable prostate cancer markers:

  • Prostate-Specific Antigen (PSA): the most well-known and widely used biomarker for prostate cancer. Elevated PSA levels can be indicative of prostate cancer, although they can also be elevated in non-cancerous conditions, such as benign prostatic hyperplasia (BPH).
    • Free PSA: The ratio of free PSA to total PSA can provide additional information to distinguish between benign conditions and prostate cancer.
    • PSA Density: PSA density is calculated by dividing the PSA level by the prostate volume and can help assess the risk of prostate cancer more accurately.
    • PSA Velocity: PSA velocity measures the rate of change in PSA levels over time and can be used to detect abnormal PSA trends.
    • PSA Doubling Time: PSA doubling time assesses how long it takes for PSA levels to double, which can be indicative of the aggressiveness of the cancer.
    • Prostate Health Index (PHI): PHI is a mathematical formula that combines PSA, free PSA, and [-2]proPSA to improve the accuracy of prostate cancer detection.
  • [-2]proPSA: a specific form of prostate-specific antigen that has shown promise in distinguishing between benign conditions and prostate cancer, particularly in combination with other PSA markers.
  • PCA3 (Prostate Cancer Antigen 3): a urine-based test that measures the expression of a non-coding RNA associated with prostate cancer. It can help in the assessment of cancer risk and the need for a prostate biopsy.
  • TMPRSS2-ERG Fusion: The TMPRSS2-ERG gene fusion is found in a subset of prostate cancer cases and can be detected through molecular tests. It may have prognostic significance.
  • ERG Protein: ERG protein expression is used to detect the presence of TMPRSS2-ERG fusion, which is associated with some prostate cancer cases.
  • Ki-67: a cell proliferation marker often measured in prostate cancer to assess tumor aggressiveness.
  • AR-V7 (Androgen Receptor Variant 7): a variant of the androgen receptor associated with resistance to androgen deprivation therapy (ADT) in metastatic prostate cancer.

Prostate Cancer

PARTNERSHIP OPPORTUNITIES

NeoBiotechnologies holds Exclusive rights to 10,000 recombinant and hybridoma antibody products, available for Licensing or Collaboration.

LETS TALK