Immunohistochemistry Antibodies

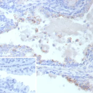
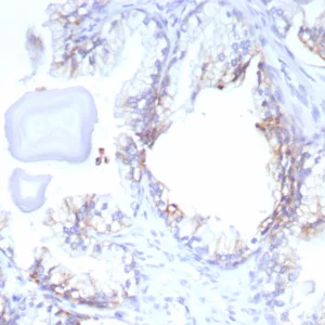
Immunohistochemistry is a technique used to detect and visualize specific proteins or antigens within tissue sections, typically from formalin-fixed, paraffin-embedded (FFPE) samples. Immunohistochemistry provides valuable information about localization, differential expression, tissue morphology, and disease pathogenesis. IHC provides quantitative data for validating the presence of a specific protein of interest in tissue samples and antibodies. Overall, IHC is valuable for understanding protein localization, tissue structure, and disease pathology. It is widely used in research and clinical diagnostics for various applications, including cancer diagnosis, neuroscience, and developmental biology.

Immunohistochemistry

PARTNERSHIP OPPORTUNITIES

NeoBiotechnologies holds Exclusive rights to 10,000 recombinant and hybridoma antibody products, available for Licensing or Collaboration.

LETS TALK