Thomsen-Friedenreich Antigen / CD176 (Pan Carcinoma Marker) Antibody [A63-C/A9]

In Stock
Catalog Number Formulation Size Price
MSM3-938-P0
Purified Ab with BSA and Azide at 200ug/ml
20ug
$259.00
MSM3-938-P1
Purified Ab with BSA and Azide at 200ug/ml
100ug
$559.00
MSM3-938-P1BX
Purified Ab WITHOUT BSA at 1.0mg/ml
100ug
$559.00
Flat Rate Domestic: $95 | Orders outside the US - Contact Us for Order Information | Ships next business day

Applications & Dilutions

Applications Tested Dillution Protocol Note
Immunofluorescence (IF)
1-3ug/ml
Immunohistochemistry (IHC)
1-2ug/ml
30 min at RT. Staining of formalin-fixed tissues requires heating tissue sections in 10mM Tris with 1mM EDTA, pH 9.0, for 45 min at 95°C followed by cooling at RT for 20 minutes

Summary

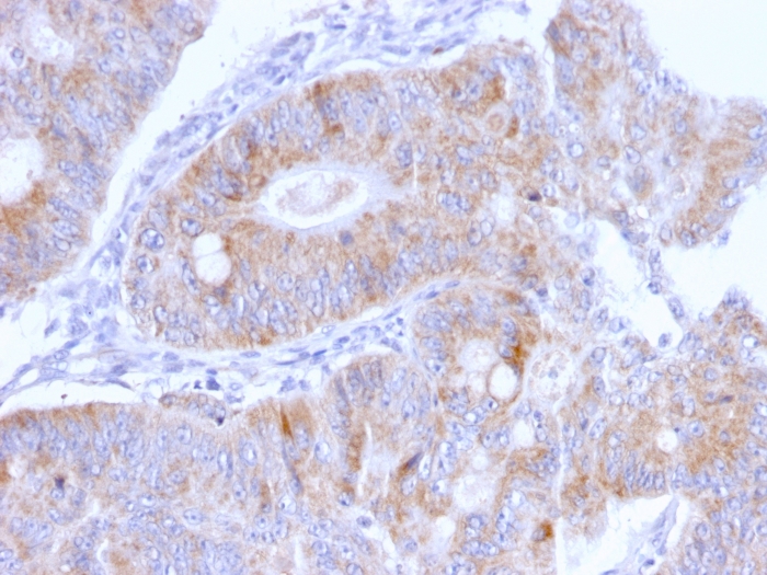
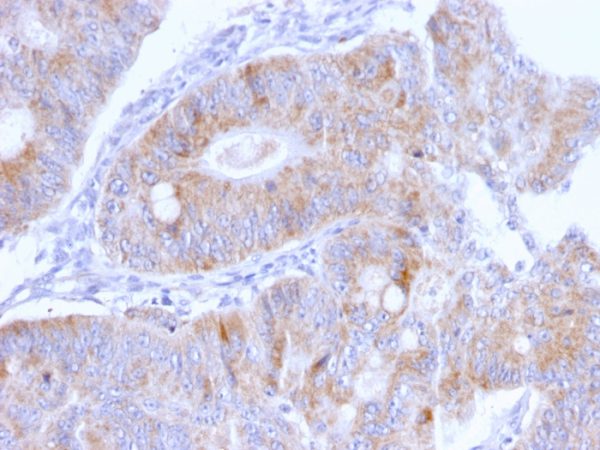
Recognizes a disaccharide epitope, Gal 1-3GalNAc, of Thomsen-Friedenreich (TF) antigen. It is specific for both anomeric forms of the disaccharide (TF and TF , including related structures on the glycolipid) and shows no cross-reactivity with sialylated glycophorin. The Thomsen-Friedenreich antigen acts as an oncofetal antigen, with low expression in normal adult tissues but increasing to fetal levels of expression in hyperplasia or malignancy. It is considered as a pan-carcinoma marker. This MAb is capable to agglutinate desialylated red blood cells. During metastasis, the ability of malignant cells to form multicellular aggregates via homotypic or heterotypic aggregation and their adhesion to the endothelium are critical. The tumor-associated carbohydrate Thomsen-Friedenreich antigen (Gal-GalNAc) is involved in tumor cell adhesion and tissue invasion. It also causes an immune response, and overexpression of the antigen causes cancer cells to be more sensitive to natural killer cell lysis. The Thomsen-Friedenreich antigen is suppressed in normal healthy cells and represents one of the few chemically well-defined antigens associated with tumor malignancy. The presence of the Thomsen-Friedenreich antigen on the surface of cancer cells may result from a divergence from the normal pathway for O-linked glycosylation in these cells, most likely caused by inappropriate localization of the enzymes involved in synthesis of the disaccharide.

Product Properties & Targets

Antibody Type
Host
Mouse
Species Reactivity
Isotype / Light Chain
IgM / Kappa
Cellular Localization
N/A
Gene Name
N/A
Positive Control
KG1 cells. Human colorectal carcinoma tissues.
Immunogen
Neuraminidase-treated human red blood cells
Alternate Names
N/A, N/A, T-F Antigen; TF Antigen; Asialoglycophorin; pan-carcinoma marker; CD176

Database Links

Entrez Gene ID
SwissProt
N/A

Additional Information

Clone
A63-C/A9
Chromosome Location
Not Applicable
Mol. Weight of Antigen
Multiple

Functions

  • N/A

Key References

  • Baldus SE et al. Cancer 1998, 82(6):1019-27
  • Karsten U et al. Hybridoma 1995, 14(1):37-44
  • Ryder SD et al. Gastroenterology 1998, 114(1):44-9

Storage & Stability

Antibody with azide - store at 2 to 8°C. Antibody without azide - store at -20 to -80°C. Antibody is stable for 24 months. Non-hazardous. No MSDS required.

Limitations

This antibody is available for research use only and is not approved for use in diagnosis.

Supplied as

200ug/ml of Ab Purified from Bioreactor Concentrate. Prepared in 10mM PBS with 0.05% BSA & 0.05% azide. Also available WITHOUT BSA & azide at 1.0mg/ml.

Warranty

There are no warranties, expressed or implied, which extend beyond this description. Company is not liable for any personal injury or economic loss resulting from this product.

Reviews

There are no reviews yet.

Be the first to review “Thomsen-Friedenreich Antigen / CD176 (Pan Carcinoma Marker) Antibody”

Your email address will not be published. Required fields are marked *

PARTNERSHIP OPPORTUNITIES

NeoBiotechnologies holds Exclusive rights to 10,000 recombinant and hybridoma antibody products, available for Licensing or Collaboration.

LETS TALK