
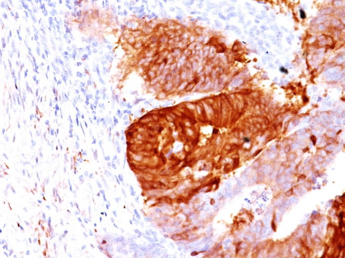
Formalin-fixed, paraffin-embedded human Colon Carcinoma stained with ALDH1A1 Mouse Monoclonal Antibody (ALDH1A1/1381).

Formalin-fixed, paraffin-embedded human Testicular Carcinoma stained with ALDH1A1 Mouse Monoclonal Antibody (ALDH1A1/1381).

Western Blot Analysis of human Liver tissue lysate using ALDH1A1 Mouse Monoclonal Antibody (ALDH1A1/1381).

SDS-PAGE Analysis of Purified ALDH1A1 Mouse Monoclonal Antibody (ALDH1A1/1381). Confirmation of Integrity and Purity of Antibody.
ALDH1A1 belongs to the ALDH enzymes, a family of evolutionarily conserved enzymes comprised of 19 isoforms that are localized in the cytoplasm, mitochondria or nucleus. ALDH1A1 is predominantly expressed in the epithelium of testis, brain, eye, liver, kidney, as well as neural and hematopoietic stem cells. Reportedly, high ALDH1A1 expression is found in solitary fibrous tumor (SFT) and hemangiopericytoma (HPC), compared to meningiomas and synovial sarcomas. In combination with CD34, ALDH1A1 may be useful for the differentiation among SFT, HPC, meningioma, and synovial sarcoma.
There are no reviews yet.