
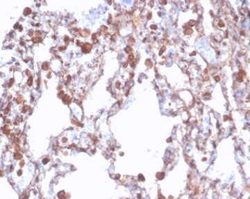
Formalin-fixed, paraffin-embedded human lung stained with ALDH1A1 Recombinant Mouse Monoclonal Antibody (rALDH1A1/7285). HIER: Tris/EDTA, pH9.0, 45min. 2 °: HRP-polymer, 30min. DAB, 5min.

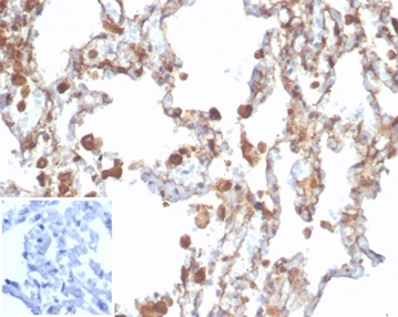
Formalin-fixed, paraffin-embedded human lung stained with ALDH1A1 Recombinant Mouse Monoclonal Antibody (rALDH1A1/7285). Inset: PBS instead of primary antibody; secondary only negative control.
ALDH1A1 belongs to the ALDH enzymes, a family of evolutionarily conserved enzymes comprised of 19 isoforms that are localized in the cytoplasm, mitochondria or nucleus. ALDH1A1 is predominantly expressed in the epithelium of testis, brain, eye, liver, kidney, as well as neural and hematopoietic stem cells. Reportedly, high ALDH1A1 expression is found in solitary fibrous tumor (SFT) and hemangiopericytoma (HPC), compared to meningiomas and synovial sarcomas. In combination with CD34, ALDH1A1 may be useful for the differentiation among SFT, HPC, meningioma, and synovial sarcoma.
There are no reviews yet.