
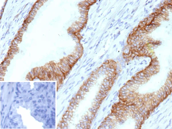
Formalin-fixed, paraffin-embedded human prostate stained with ABCC4 Mouse Monoclonal Antibody (ABCC4/9178). HIER: Tris/EDTA, pH9.0, 45min. 2°: HRP-polymer, 30min. DAB, 5min.

Formalin-fixed, paraffin-embedded human prostate stained with ABCC4 Mouse Monoclonal Antibody (ABCC4/9178). Inset: PBS instead of primary antibody; secondary only negative control.
The two members of the large family of ABC transporters known to confer multidrug resistance in human cancer cells are the Mdr-1 P-glycoprotein and the multidrug-resistance protein MRP1. MRP1 is an integral membrane protein that contains an MDR-like core, an N-terminal membrane-bound region and a cytoplasmic linker, and it is expressed in various cerebral cells, as well as in lung, testis and peripheral blood. The MRP gene family also includes MRP2, which is alternatively designated cMOAT (for canalicular multispecific organic anion transporter), and MRP3, which are both conjugate export pumps expressed predominantly in hepatocytes. MRP2 localizes exclusively to the apical membrane and is constitutively expressed at a high level in normal liver cells. Conversely, MRP3 localizes to the basolateral membrane where it also mediates the transport of the organic anion S-(2,4-dinitrophenyl-) glutathione toward the basolateral side of the membrane. MRP3 is normally expressed at comparatively lower levels than MRP2 and increases only when secretion across the apical membrane by MRP2 is impaired. MRP6 is highly expressed in liver and kidney, whereas MRP4 and MRP5 are detected in various tissues, yet at much lower levels of expression.
There are no reviews yet.