ABCB11 / BSEP Antibody [BSEP/7534]

In Stock
Catalog Number Formulation Size Price
8647-MSM4-P0
Purified Ab with BSA and Azide at 200ug/ml
20ug
$259.00
8647-MSM4-P1
Purified Ab with BSA and Azide at 200ug/ml
100ug
$559.00
8647-MSM4-P1ABX
Purified Ab WITHOUT BSA and Azide at 1.0mg/ml
100ug
$559.00
Flat Rate Domestic: $95 | Orders outside the US - Contact Us for Order Information | Ships next business day

Applications & Dilutions

Applications Tested Dillution Protocol Note
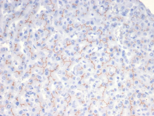
Immunohistochemistry (IHC)
1-2ug/ml
30 min at RT. Staining of formalin-fixed tissues requires heating tissue sections in 10mM Tris with 1mM EDTA, pH 9.0, for 45 min at 95°C followed by cooling at RT for 20 minutes
Western Blot (WB)
2-4ug/ml

Summary

ATP-binding cassette (ABC) transporters are an evolutionarily conserved family of proteins that catalyze the transport of molecules across extra- and intracellular membranes through the energy of ATP hydrolysis. ABC genes comprise seven subfamilies, designated ABC1, Mdr/TAP, MRP, ALD, OABP, GCN20 and White. The secretion of bile salt molecules from blood into bile is a major driving force for bile formation. Bile salt export pump (BSEP) is a member of the Mdr/TAP subfamily of ABC transporters that mediates the transport of bile acids across the hepatocyte canalicular membrane and regulates bile acid-dependent bile secretion. BSEP contains putative phosphorylation sites for protein kinase A, protein kinase C (PKC) and Ca2+-calmodulin dependent kinase II, whose regulation may be dependent on bile salt concentration.

Product Properties & Targets

Antibody Type
Host
Mouse
Species Reactivity
Isotype / Light Chain
IgG2b / Kappa
Cellular Localization
Cell membrane
Gene Name
Positive Control
Human liver or adrenal gland.
Immunogen
Recombinant fragment (around aa600-800) of human ABCB11 protein (exact sequence is proprietary)
Alternate Names
Bile salt export pump, ATP-binding cassette sub-family B member 11, ABC member 16, MDR/TAP subfamily; ABC16; ABCB1; Abcb11; ATP binding cassette sub family B (MDR/TAP) member 11; ATP binding cassette sub family B member 11; Bile salt export pump (BSEP); BRIC2; PFIC2; PGY4; progressive familial intrahepatic cholestasis 2; Sister of P glycoprotein; Spgp

Database Links

Entrez Gene ID
SwissProt

Additional Information

Clone
BSEP/7534
Chromosome Location
2q31.1
Mol. Weight of Antigen
160-190kDa

Functions

  • Catalyzes the transport of the major hydrophobic bile salts, such as taurine and glycine-conjugated cholic acid across the canalicular membrane of hepatocytes in an ATP-dependent manner, therefore participates in hepatic bile acid homeostasis and consequently to lipid homeostasis through regulation of biliary lipid secretion in a bile salts dependent manner (PubMed:16332456, PubMed:22262466, PubMed:15791618, PubMed:18985798, PubMed:19228692, PubMed:20398791, PubMed:24711118, PubMed:29507376, PubMed:20010382, PubMed:32203132). Transports taurine-conjugated bile salts more rapidly than glycine-conjugated bile salts (PubMed:16332456). Also transports non-bile acid compounds, such as pravastatin and fexofenadine in an ATP-dependent manner and may be involved in their biliary excretion (PubMed:15901796, PubMed:18245269).

Key References

  • Chen, F., et al. 2010. ATPase class I type 8B member 1 and protein kinase C z induce the expression of the canalicular bile salt export pump in human hepatocytes. Pediatr. Res. 67: 183-187.

Storage & Stability

Antibody with azide - store at 2 to 8°C. Antibody without azide - store at -20 to -80°C. Antibody is stable for 24 months. Non-hazardous. No MSDS required.

Limitations

This antibody is available for research use only and is not approved for use in diagnosis.

Supplied as

200ug/ml of Ab purified from Bioreactor Concentrate by Protein A/G. Prepared in 10mM PBS with 0.05% BSA & 0.05% azide. Also available WITHOUT BSA & azide at 1.0mg/ml.

Warranty

There are no warranties, expressed or implied, which extend beyond this description. Company is not liable for any personal injury or economic loss resulting from this product.

Reviews

There are no reviews yet.

Be the first to review “ABCB11 / BSEP Antibody”

Your email address will not be published. Required fields are marked *

PARTNERSHIP OPPORTUNITIES

NeoBiotechnologies holds Exclusive rights to 10,000 recombinant and hybridoma antibody products, available for Licensing or Collaboration.

LETS TALK