
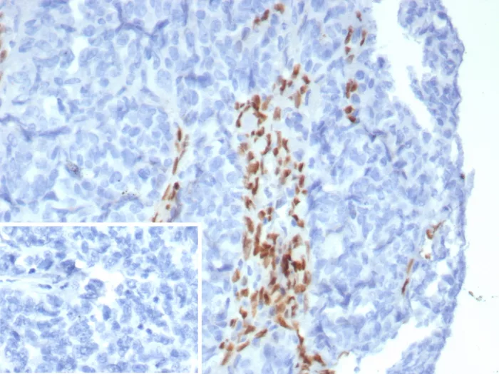
Formalin-fixed, paraffin-embedded human ovarian carcinoma stained with FOXL2 Recombinant Rabbit Monoclonal Antibody (FOXL2/8362R). Inset: PBS instead of primary antibody; secondary only negative control.

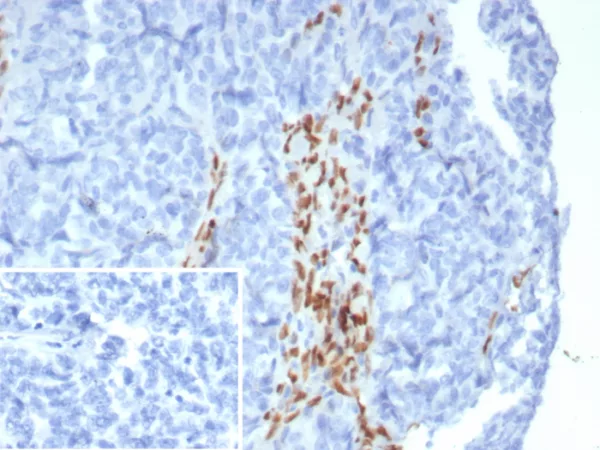
Formalin-fixed, paraffin-embedded human parathyroid stained with FOXL2 Recombinant Rabbit Monoclonal Antibody (FOXL2/8362R). HIER: Tris/EDTA, pH9.0, 45min. 2: HRP-polymer, 30min. DAB, 5min.
FOXL2 is a critical factor essential for ovary differentiation and maintenance, and repression of the genetic program for somatic testis determination. It prevents trans-differentiation of ovary to testis through transcriptional repression of the sertoli cell-promoting gene SOX9. FOXL2 is mainly expressed in ovary, parathyroid gland and sex cord-stromal tumors. FOXL2 is generally used for diagnosis of sex cord-stromal tumors with Inhibin, Calretinin and SF-1.
There are no reviews yet.