Recombinant FOXL2 Antibody [FOXL2/8701R]

In Stock
Catalog Number Formulation Size Price
668-RBM5-P0
Purified Ab with BSA and Azide at 200ug/ml
20ug
$259.00
668-RBM5-P1
Purified Ab with BSA and Azide at 200ug/ml
100ug
$559.00
668-RBM5-P1ABX
Purified Ab WITHOUT BSA and Azide at 1.0mg/ml
100ug
$559.00
Flat Rate Domestic: $95 | Orders outside the US - Contact Us for Order Information | Ships next business day

Applications & Dilutions

Applications Tested Dillution Protocol Note
Immunohistochemistry (IHC)
1-2ug/ml
30 min at RT. Staining of formalin-fixed tissues requires heating tissue sections in 10mM Tris with 1mM EDTA, pH 9.0, for 45 min at 95°C followed by cooling at RT for 20 minutes

Summary

FOXL2 is a critical factor essential for ovary differentiation and maintenance, and repression of the genetic program for somatic testis determination. It prevents trans-differentiation of ovary to testis through transcriptional repression of the sertoli cell-promoting gene SOX9. FOXL2 is mainly expressed in ovary, parathyroid gland and sex cord-stromal tumors. FOXL2 is generally used for diagnosis of sex cord-stromal tumors with Inhibin, Calretinin and SF-1.

Product Properties & Targets

Host
Rabbit
Applications
Species Reactivity
Research Areas
Isotype / Light Chain
IgG / Kappa
Cellular Localization
Nucleus.
Gene Name
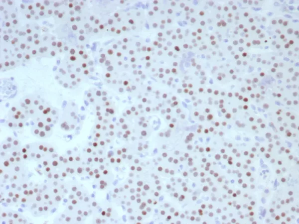
Positive Control
Nuclear expression in ovarian follicular and stromal cells. Granulosa cell tumor.
Immunogen
Recombinant full-length human FOXL2 protein
Alternate Names
Forkhead box protein L2, Blepharophimosis epicanthus inversus and ptosis 1; BPES 1; BPES; BPES1; Epicanthus inversus and ptosis 1; Forkhead box protein L2; Forkhead transcription factor FOXL2; PFRK; PINTO; PITUITARY FORKHEAD FACTOR; POF3

Database Links

Entrez Gene ID
668
SwissProt

Additional Information

Clone
FOXL2/8701R
Chromosome Location
3q22.3
Mol. Weight of Antigen
38kDa

Functions

  • Transcriptional regulator. Critical factor essential for ovary differentiation and maintenance, and repression of the genetic program for somatic testis determination. Prevents trans-differentiation of ovary to testis through transcriptional repression of the Sertoli cell-promoting gene SOX9 (By similarity). Has apoptotic activity in ovarian cells. Suppresses ESR1-mediated transcription of PTGS2/COX2 stimulated by tamoxifen (By similarity). Is a regulator of CYP19 expression (By similarity). Participates in SMAD3-dependent transcription of FST via the intronic SMAD-binding element (By similarity). Is a transcriptional repressor of STAR. Activates SIRT1 transcription under cellular stress conditions. Activates transcription of OSR2.

Key References

  • Shah SP, Kobel M, Senz J, et al. Mutation of FOXL2 in granulosa-cell tumors of the ovary.N Engl J Med. 2009;360(26):2719-2729. doi:10.1056/NEJMoa0902542.

Storage & Stability

Antibody with azide - store at 2 to 8°C. Antibody without azide - store at -20 to -80°C. Antibody is stable for 24 months. Non-hazardous. No MSDS required.

Limitations

This antibody is available for research use only and is not approved for use in diagnosis.

Supplied as

200ug/ml of Ab purified from Bioreactor Concentrate by Protein A/G. Prepared in 10mM PBS with 0.05% BSA & 0.05% azide. Also available WITHOUT BSA & azide at 1.0mg/ml.

Warranty

There are no warranties, expressed or implied, which extend beyond this description. Company is not liable for any personal injury or economic loss resulting from this product.

Reviews

There are no reviews yet.

Be the first to review “Recombinant FOXL2 Antibody”

Your email address will not be published. Required fields are marked *

PARTNERSHIP OPPORTUNITIES

NeoBiotechnologies holds Exclusive rights to 10,000 recombinant and hybridoma antibody products, available for Licensing or Collaboration.

LETS TALK