
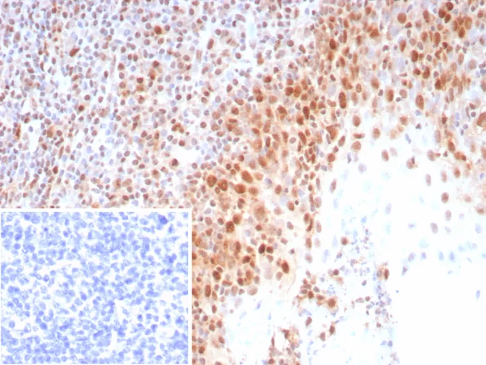
Formalin-fixed, paraffin-embedded human tonsil stained with PCNA Recombinant Mouse Monoclonal Antibody (rPCNA/8858) at 2ug/ml. Inset: PBS instead of primary antibody; secondary only negative control.

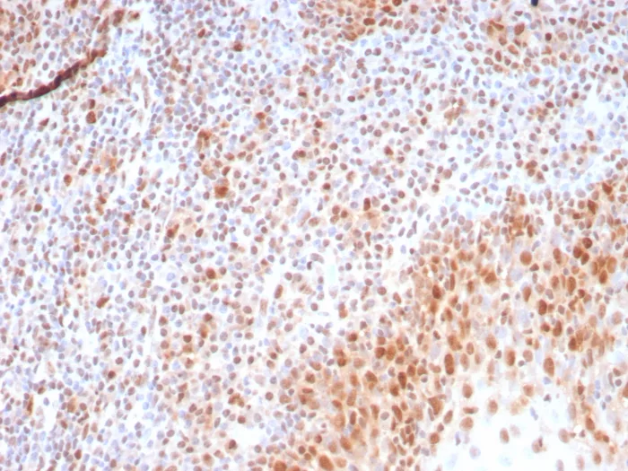
Formalin-fixed, paraffin-embedded human tonsil stained with PCNA Recombinant Mouse Monoclonal Antibody (rPCNA/8858) at 2ug/ml. HIER: Tris/EDTA, pH9.0, 45min. 2°C: HRP-polymer, 30min. DAB, 5min.

SDS-PAGE Analysis Purified PCNA Recommbinant Mouse Monoclonal Antibody (rPCNA/8859). Confirmation of Purity and Integrity of Antibody.
Recognizes a non-histone protein of 36kDa, which is identified as proliferating cell nuclear antigen (PCNA). It is also known as cyclin or polymerase delta auxiliary protein. Elevated expression of PCNA/cyclin has been shown in the nucleus during late G1 phase immediately before the onset of DNA synthesis, becoming maximal during S-phase and declining during G2 and M phases. This MAb is excellent for multiple applications.
There are no reviews yet.