Recombinant PCNA (Proliferating Cell Nuclear Antigen) (G1- & S-phase Marker) Antibody [PCNA/8303R]

In Stock
Catalog Number Formulation Size Price
5111-RBM7-P0
Purified Ab with BSA and Azide at 200ug/ml
20ug
$259.00
5111-RBM7-P1
Purified Ab with BSA and Azide at 200ug/ml
100ug
$559.00
5111-RBM7-P1ABX
Purified Ab WITHOUT BSA and Azide at 1.0mg/ml
100ug
$559.00
Flat Rate Domestic: $95 | Orders outside the US - Contact Us for Order Information | Ships next business day

Applications & Dilutions

Applications Tested Dillution Protocol Note
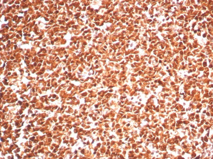
Immunohistochemistry (IHC)
1-2ug/ml
30 min at RT. Staining of formalin-fixed tissues requires heating tissue sections in 10mM Tris with 1mM EDTA, pH 9.0, for 45 min at 95°C followed by cooling at RT for 20 minutes
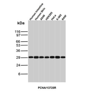
Western Blot (WB)
2-4ug/ml

Summary

Recognizes a non-histone protein of 36kDa, which is identified as proliferating cell nuclear antigen (PCNA). It is also known as cyclin or polymerase delta auxiliary protein. Elevated expression of PCNA/cyclin has been shown in the nucleus during late G1 phase immediately before the onset of DNA synthesis, becoming maximal during S-phase and declining during G2 and M phases. This MAb is excellent for multiple applications.

Product Properties & Targets

Host
Rabbit
Species Reactivity
Isotype / Light Chain
IgG / Kappa
Cellular Localization
Nucleus. Cytoplasm.
Gene Name
Positive Control
HEK293 or U937 cells.|Tonsil or reactive lymph node. SKBr3
Immunogen
Recombinant full-length human PCNA protein
Alternate Names
Proliferating cell nuclear antigen, Cyclin, Cyclin; DNA polymerase delta auxiliary protein; Mutagen-sensitive 209 protein; PCNAR; Polymerase delta accessory protein

Database Links

Entrez Gene ID
SwissProt

Additional Information

Clone
PCNA/8303R
Chromosome Location
20p12.3
Mol. Weight of Antigen
36kDa

Functions

  • Auxiliary protein of DNA polymerase delta and epsilon, is involved in the control of eukaryotic DNA replication by increasing the polymerase's processibility during elongation of the leading strand (PubMed:35585232). Induces a robust stimulatory effect on the 3'-5' exonuclease and 3'-phosphodiesterase, but not apurinic-apyrimidinic (AP) endonuclease, APEX2 activities. Has to be loaded onto DNA in order to be able to stimulate APEX2. Plays a key role in DNA damage response (DDR) by being conveniently positioned at the replication fork to coordinate DNA replication with DNA repair and DNA damage tolerance pathways (PubMed:24939902). Acts as a loading platform to recruit DDR proteins that allow completion of DNA replication after DNA damage and promote postreplication repair: Monoubiquitinated PCNA leads to recruitment of translesion (TLS) polymerases, while 'Lys-63'-linked polyubiquitination of PCNA is involved in error-free pathway and employs recombination mechanisms to synthesize across the lesion (PubMed:24695737).

Key References

  • Waseem NH & Lane DP. 1990. J Cell Sci. 96:121-9.

PubMed Links

Storage & Stability

Antibody with azide - store at 2 to 8°C. Antibody without azide - store at -20 to -80°C.Antibody is stable for 24 months. Non-hazardous. No MSDS required.

Limitations

This antibody is available for research use only and is not approved for use in diagnosis.

Supplied as

200ug/ml of Ab purified from Bioreactor Concentrate by Protein A/G. Prepared in 10mM PBS with 0.05% BSA & 0.05% azide. Also available WITHOUT BSA & azide at 1.0mg/ml.

Warranty

There are no warranties, expressed or implied, which extend beyond this description. Company is not liable for any personal injury or economic loss resulting from this product.

Reviews

There are no reviews yet.

Be the first to review “Recombinant PCNA (Proliferating Cell Nuclear Antigen) (G1- & S-phase Marker) Antibody”

Your email address will not be published. Required fields are marked *

PARTNERSHIP OPPORTUNITIES

NeoBiotechnologies holds Exclusive rights to 10,000 recombinant and hybridoma antibody products, available for Licensing or Collaboration.

LETS TALK