
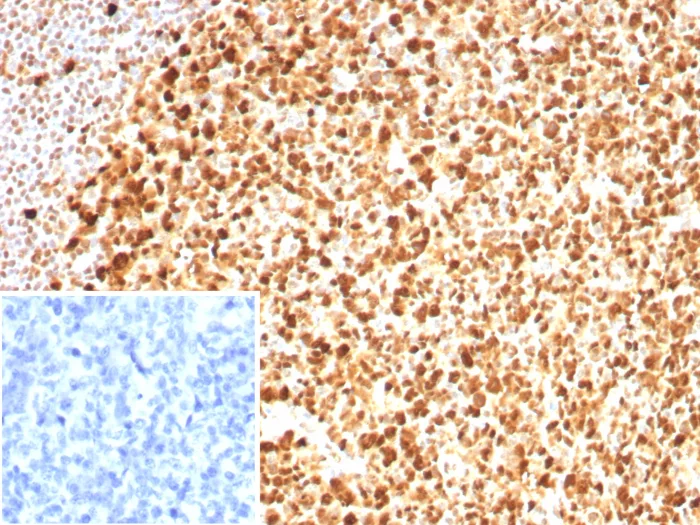
Formalin-fixed, paraffin-embedded human tonsil stained with PCNA Recombinant Rabbit Monoclonal Antibody (PCNA/8633R). Inset: PBS instead of primary antibody; secondary only negative control.

Formalin-fixed, paraffin-embedded human prostate carcinoma stained with PCNA Recombinant Rabbit Monoclonal Antibody (PCNA/8633R). Inset: PBS instead of primary antibody; secondary only negative control.

Formalin-fixed, paraffin-embedded human skin stained with PCNA Recombinant Rabbit Monoclonal Antibody (PCNA/8633R). Inset: PBS instead of primary antibody; secondary only negative control.

Formalin-fixed, paraffin-embedded human tonsil stained with PCNA Recombinant Rabbit Monoclonal Antibody (PCNA/8633R). Inset: PBS instead of primary antibody; secondary only negative control.

SDS-PAGE Analysis of Purified PCNA Recombinant Rabbit Monoclonal Antibody (PCNA/8633R). Confirmation of Purity and Integrity of Antibody.

Western Blot Analysis of A-431, 293T, Hep G2, MCF7 and NIH/3T3 cell lysates using PCNA Recombinant Rabbit Monoclonal Antibody (PCNA/8633R).
Recognizes a non-histone protein of 36kDa, which is identified as proliferating cell nuclear antigen (PCNA). It is also known as cyclin or polymerase delta auxiliary protein. Elevated expression of PCNA/cyclin has been shown in the nucleus during late G1 phase immediately before the onset of DNA synthesis, becoming maximal during S-phase and declining during G2 and M phases. This MAb is excellent for multiple applications.
There are no reviews yet.