
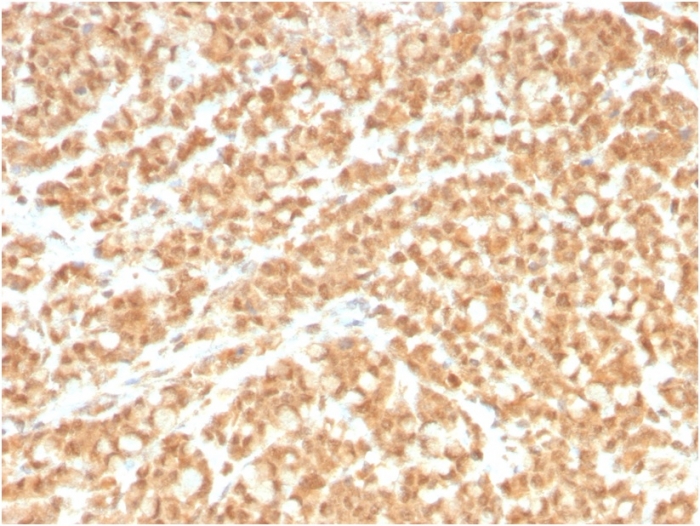
Formalin-fixed, paraffin-embedded human Colon Carcinoma stained with ICOSL-Monospecific Mouse Monoclonal Antibody (ICOSL/3260).

SDS-PAGE Analysis of Purified ICOS-L Mouse Monoclonal Antibody (ICOSL/3260). Confirmation of Purity and Integrity of Antibody.

Analysis of Protein Array containing more than 19,000 full-length human proteins using ICOS-L Mouse Monoclonal Antibody (ICOSL/3260). Z- and S- Score: The Z-score represents the strength of a signal that a monoclonal antibody (Monoclonal Antibody) (in combination with a fluorescently-tagged anti-IgG secondary antibody) produces when binding to a particular protein on the HuProtTM array. Z-scores are described in units of standard deviations (SD’s) above the mean value of all signals generated on that array. If targets on HuProtTM are arranged in descending order of the Z-score, the S-score is the difference (also in units of SD’s) between the Z-score. S-score therefore represents the relative target specificity of a Monoclonal Antibody to its intended target. A Monoclonal Antibody is considered to specific to its intended target, if the Monoclonal Antibody has an S-score of at least 2.5. For example, if a Monoclonal Antibody binds to protein X with a Z-score of 43 and to protein Y with a Z-score of 14, then the S-score for the binding of that Monoclonal Antibody to protein X is equal to 29.
This MAb recognizes a protein of 36kDa, identified as ICOS-L. It is a ligand for the ICOS receptor that initiates T and B cell proliferation and cytokine secretion. ICOS-L interactions play an essential role in T cell-dependent B cell activation in peripheral lymphoid organs such as spleen and lymph nodes. ICOS-L protein is present in myeloid leukocytes, and by Northern blot there are 2.4, 3.0, and 7.0 kb transcripts in brain, heart, kidney, and liver, with lower expression in colon and thymus, and a 1.1 kb transcript in leukocytes. Tumor necrosis factor alpha (TNF), granulocyte-macrophage colony-stimulating factor (GM-CSF) and interleukin-4 (IL-4) enhance its expression. LPS-induced up-regulation of ICOS-L is dependent on the MyD88-dependent signaling pathway.
There are no reviews yet.