
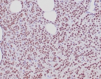
Formalin fixed paraffin embedded human breast carcinoma stained with ER, alpha Rabbit Recombinant Monoclonal Antibody (ESR1/6811R). HIER: Tris/EDTA, pH9.0, 45min. 2°C: HRP-polymer, 30min. DAB, 5min.

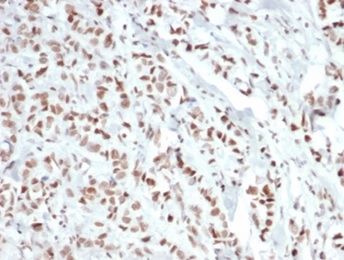
Formalin fixed paraffin embedded human breast carcinoma stained with ER, alpha Rabbit Recombinant Monoclonal Antibody (ESR1/6811R). HIER: Tris/EDTA, pH9.0, 45min. 2°C: HRP-polymer, 30min. DAB, 5min.
Recognizes a protein of 67kDa, which is identified as estrogen receptor (ER) alpha. The ER gene consists of more than 140kb of genomic DNA divided into 8 exons, being translated into a protein with six functionally discrete domains, labeled A through F. This antibody strongly stains the nucleus of epithelial cells in breast carcinomas. The ER is an important regulator of growth and differentiation in the mammary gland. Presence of ER in breast tumors indicates an increased likelihood of response to antiestrogen (e.g. tamoxifen) therapy.
There are no reviews yet.