Recombinant Estrogen Receptor, alpha (Marker of Estrogen Dependence) Antibody [rESR1/1935]

In Stock
Catalog Number Formulation Size Price
2099-MSM18-P0
Purified Ab with BSA and Azide at 200ug/ml
20ug
$259.00
2099-MSM18-P1
Purified Ab with BSA and Azide at 200ug/ml
100ug
$559.00
2099-MSM18-P1ABX
Purified Ab WITHOUT BSA and Azide at 1.0mg/ml
100ug
$559.00
Flat Rate Domestic: $95 | Orders outside the US - Contact Us for Order Information | Ships next business day

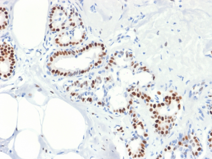
Applications & Dilutions

Applications Tested Dillution Protocol Note
Immunohistochemistry (IHC)
1-2ug/ml
30 min at RT. Staining of formalin-fixed tissues requires heating tissue sections in 10mM Tris with 1mM EDTA, pH 9.0, for 45 min at 95°C followed by cooling at RT for 20 minutes
Western Blot (WB)
2-4ug/ml

Summary

This MAb is specific to ER alpha and shows minimal cross-reaction with other members of the family. ER is an important regulator of growth and differentiation in the mammary gland. Presence of ER in breast tumors indicates an increased likelihood of response to anti-estrogen (e.g. tamoxifen) therapy. This MAb is excellent for staining of formalin-fixed, paraffin-embedded breast carcinomas.

Product Properties & Targets

Host
Mouse
Species Reactivity
Isotype / Light Chain
IgG1 / Kappa
Cellular Localization
Cell membrane, Cytoplasm, Golgi apparatus, Nucleus
Gene Name
Positive Control
MCF-7 cells. Breast or Endometrial Carcinoma.
Immunogen
Recombinant full-length human Estrogen Receptor alpha protein
Alternate Names
Estrogen receptor, ER-alpha, Estradiol receptor, Nuclear receptor subfamily 3 group A member 1, Estrogen Receptor alpha delta 4*5,6,7*/654 isoform; Estrogen Receptor alpha delta 4 +49 isoform; Nuclear receptor subfamily 3 group A member 1

Database Links

Entrez Gene ID
SwissProt

Additional Information

Clone
rESR1/1935
Chromosome Location
6q25.1
Mol. Weight of Antigen
~67kDa

Functions

  • Nuclear hormone receptor. The steroid hormones and their receptors are involved in the regulation of eukaryotic gene expression and affect cellular proliferation and differentiation in target tissues. Ligand-dependent nuclear transactivation involves either direct homodimer binding to a palindromic estrogen response element (ERE) sequence or association with other DNA-binding transcription factors, such as AP-1/c-Jun, c-Fos, ATF-2, Sp1 and Sp3, to mediate ERE-independent signaling. Ligand binding induces a conformational change allowing subsequent or combinatorial association with multiprotein coactivator complexes through LXXLL motifs of their respective components. Mutual transrepression occurs between the estrogen receptor (ER) and NF-kappa-B in a cell-type specific manner. Decreases NF-kappa-B DNA-binding activity and inhibits NF-kappa-B-mediated transcription from the IL6 promoter and displace RELA/p65 and associated coregulators from the promoter. Recruited to the NF-kappa-B response element of the CCL2 and IL8 promoters and can displace CREBBP. Present with NF-kappa-B components RELA/p65 and NFKB1/p50 on ERE sequences. Can also act synergistically with NF-kappa-B to activate transcription involving respective recruitment adjacent response elements; the function involves CREBBP. Can activate the transcriptional activity of TFF1. Also mediates membrane-initiated estrogen signaling involving various kinase cascades. Essential for MTA1-mediated transcriptional regulation of BRCA1 and BCAS3 (PubMed:17922032).
  • Involved in activation of NOS3 and endothelial nitric oxide production (PubMed:21937726). Isoforms lacking one or several functional domains are thought to modulate transcriptional activity by competitive ligand or DNA binding and/or heterodimerization with the full-length receptor (PubMed:10970861). Binds to ERE and inhibits isoform 1 (PubMed:10970861).

Key References

  • Zafrani B, et. al. Histopathology 2000; 37(6), 536-545.
  • Harvey JM, et. al. Journal of Clinical Oncology 1999; 17(5), 1474-1481.

PubMed Links

Storage & Stability

Antibody with azide - store at 2 to 8°C. Antibody without azide - store at -20 to -80°C. Antibody is stable for 24 months. Non-hazardous. No MSDS required.

Limitations

This antibody is available for research use only and is not approved for use in diagnosis.

Supplied as

200ug/ml of Ab produced in HEK293 cell mammalian-based expression system. Prepared in 10mM PBS with 0.05% BSA & 0.05% azide. Also available WITHOUT BSA & azide at 1.0mg/ml.

Warranty

There are no warranties, expressed or implied, which extend beyond this description. Company is not liable for any personal injury or economic loss resulting from this product.

Reviews

There are no reviews yet.

Be the first to review “Recombinant Estrogen Receptor, alpha (Marker of Estrogen Dependence) Antibody”

Your email address will not be published. Required fields are marked *

PARTNERSHIP OPPORTUNITIES

NeoBiotechnologies holds Exclusive rights to 10,000 recombinant and hybridoma antibody products, available for Licensing or Collaboration.

LETS TALK