
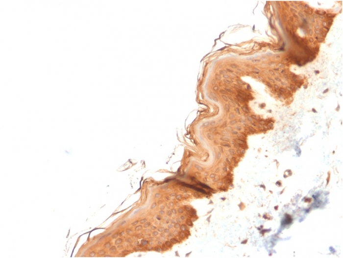
Formalin-fixed, paraffin-embedded human Skin stained with Cytokeratin 4 Mouse Monoclonal Antibody (KRT4/2804).

Flow Cytometric Analysis of HeLa cells using Cytokeratin 4 Mouse Monoclonal Antibody (KRT4/2804)followed by Goat anti-Mouse IgG-CF488 (Blue); Isotype Control (Red).

Immunofluorescence Analysis of A549 cells labeling KRT4 with Cytokeratin 4 Mouse Monoclonal Antibody (KRT4/2804)followed by Goat anti-Mouse IgG-CF488 (Green). The nuclear counterstain is Reddot (Red).

Analysis of Protein Array containing more than 19,000 full-length human proteins using Cytokeratin 4 Mouse Monoclonal Antibody (KRT4/2804). Z- and S- Score: The Z-score represents the strength of a signal that a monoclonal antibody (MAb) (in combination with a fluorescently-tagged anti-IgG secondary antibody) produces when binding to a particular protein on the HuProtTM array. Z-scores are described in units of standard deviations (SD's) above the mean value of all signals generated on that array. If targets on HuProtTM are arranged in descending order of the Z-score, the S-score is the difference (also in units of SD's) between the Z-score. S-score therefore represents the relative target specificity of a MAb to its intended target. A MAb is considered to specific to its intended target, if the MAb has an S-score of at least 2.5. For example, if a MAb binds to protein X with a Z-score of 43 and to protein Y with a Z-score of 14, then the S-score for the binding of that MAb to protein X is equal to 29.
Cytokeratin 4 (KRT4) is an intermediate filament protein associated with Cytokeratin 13 (KRT13). It is expressed in suprabasal cells of non-keratinized stratified squamous epithelium of esophagus, cornea, anus, larynx, pharynx and tongue. Decreased expression of KRT4 is associated with head and neck squamous carcinoma. It is helpful in differentiation of squamous cell carcinoma of esophagus origin from that of thyroid origin.
There are no reviews yet.