
SDS-PAGE Analysis Purified CD133 / Prominin Mouse Monoclonal Antibody (PROM/1510). Confirmation of Purity and Integrity of Antibody.

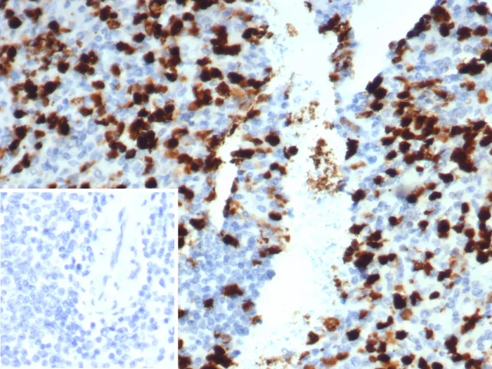
Formalin-fixed, paraffin-embedded human spleen stained with CD133 / Prominin Mouse Monoclonal Antibody (PROM/1510). Inset: PBS instead of primary antibody; secondary only negative control.

Analysis of Protein Array containing more than 19,000 full-length human proteins using CD133 / Prominin Mouse Monoclonal Antibody (PROM/1510). Z- and S- Score: The Z-score represents the strength of a signal that a monoclonal antibody (MAb) (in combination with a fluorescently-tagged anti-IgG secondary antibody) produces when binding to a particular protein on the HuProtTM array. Z-scores are described in units of standard deviations (SD's) above the mean value of all signals generated on that array. If targets on HuProtTM are arranged in descending order of the Z-score, the S-score is the difference (also in units of SD's) between the Z-score. S-score therefore represents the relative target specificity of a MAb to its intended target. A MAb is considered to specific to its intended target, if the MAb has an S-score of at least 2.5. For example, if a MAb binds to protein X with a Z-score of 43 and to protein Y with a Z-score of 14, then the S-score for the binding of that MAb to protein X is equal to 29.
CD133, also known as PROML1 or Prominin, is a stem cell antigen that may be useful for the selection and expansion of hematopoietic cells and may be used as a positive marker for the characterization of trophoblast cell lines. The human CD133 gene maps to chromosome 4p15.32 and encodes an 865 amino acid protein. The CD133 gene codes for a pentaspan transmembrane glycoprotein that is expressed on primitive hematopoietic stem, progenitor, retinoblastoma, hemangioblasts and neural stem cells and developing epithelium. The 5-TM structure includes an extracellular N-terminus, two short intra- cellular loops, two large extracellular loops and an intracellular C-terminus. CD133 is a candidate gene for retinal proteins that are targeted to plasma membrane protrusions. These retinal proteins, including CD133, may influence the shedding of photoreceptive membranes from the terminal end of the outer segments of vertebrate photoreceptors, where they are phagocytosed by the retinal pigment epithelium, and represent candidates for inherited retinal degenerations.
There are no reviews yet.