
SDS-PAGE Analysis of Purified Topo IIa Recombinant Rabbit Monoclonal Antibody (TOP2A/8103R). Confirmation of Purity and Integrity of Antibody.

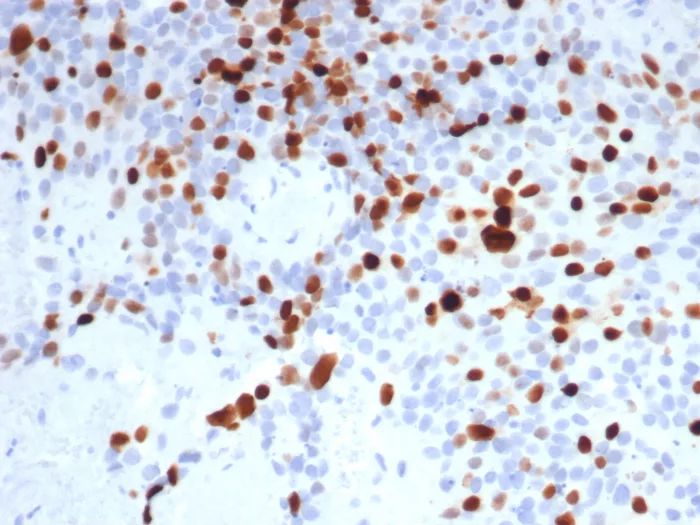
Formalin-fixed, paraffin-embedded human bladder cancer stained with Topo IIa Recombinant Rabbit Monoclonal Antibody (TOP2A/8103R). HIER: Tris/EDTA, pH9.0, 45min. 2°C: HRP-polymer, 30min. DAB, 5min.

Western Blot Analysis of A549 cell lysate using Topoisomerase II alpha Recombinant Rabbit Monoclonal Antibody (TOP2A/8103R).

Western Blot validation of anti-Topoisomerase II alpha antibody. Topoisomerase II alpha protein expression was compared in wild-type (WT) and Topoisomerase II alpha shRNA Knockdown (KD) HeLa cells (30ug of total protein). Loading control is shown below.
The topoisomerase II-α isoform is a 170kDa nuclear protein and plays an important role in DNA synthesis and RNA transcription, as well as chromosomal segregation during mitosis. Topoisomerase II-α is reported to be a sensitive and specific marker of late S-, G2- & M-phases in transformed and developmentally regulated normal cells, and has been shown to be over-expressed in many human cancers. Decreased expression of Topoisomerase II-α is the predominant mechanism of resistance to several chemotherapeutic agents.
There are no reviews yet.