
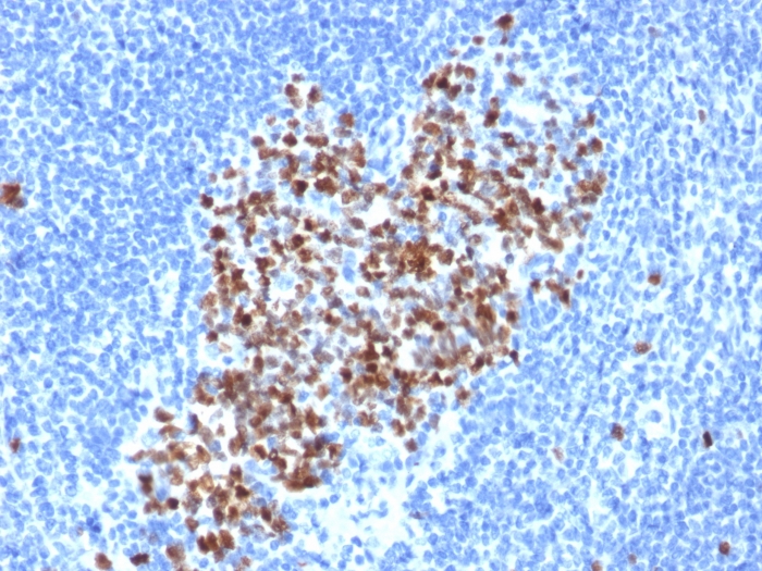
Formalin-fixed, paraffin-embedded human tonsil stained with Topo II alpha Recombinant Mouse Monoclonal Antibody (rTOP2A/6569).

Formalin-fixed, paraffin-embedded human lymph node stained with Topo II alpha Recombinant Mouse Monoclonal Antibody (rTOP2A/6569).

IHC analysis of formalin-fixed, paraffin-embedded human brain. Negative tissue control using rTOP2A/6569 at 2ug/ml in PBS for 30min RT. HIER: Tris/EDTA, pH9.0, 45min. 2 °: HRP-polymer, 30min. DAB, 5min.
It recognizes a 170kDa protein, which is identified as topoisomerase II伪. It shows no cross-reaction with Topoisomerase II 尾 or I. Topo II 伪 plays important roles in synthesis and transcription of DNA as well as chromosomal segregation during mitosis. It is reported to be a sensitive and specific marker of late S-, G2- & M-phases in transformed and developmentally regulated normal cells. Topo II 伪 is also implicated in drug resistance of tumor cells and has been shown to be over-expressed in many human cancers. Decreased expression of Topo IIa is the predominant mechanism of resistance to several chemotherapeutic agents.
There are no reviews yet.