
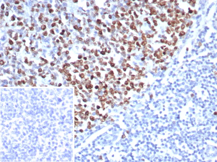
Formalin-fixed, paraffin-embedded human tonsil stained with Topo II alpha Recombinant Mouse Monoclonal Antibody (rTOP2A/8339). Inset: PBS instead of primary antibody; secondary only negative control.
It recognizes a 170kDa protein, which is identified as topoisomerase IIα. It shows no cross-reaction with Topoisomerase II β or I. Topo II α plays important roles in synthesis and transcription of DNA as well as chromosomal segregation during mitosis. It is reported to be a sensitive and specific marker of late S-, G2- & M-phases in transformed and developmentally regulated normal cells. Topo II α is also implicated in drug resistance of tumor cells and has been shown to be over-expressed in many human cancers. Decreased expression of Topo IIa is the predominant mechanism of resistance to several chemotherapeutic agents.
There are no reviews yet.