Recombinant Topoisomerase II alpha (Proliferation & Drug-Resistance Marker) Antibody [rTOP2A/6629]

In Stock
Catalog Number Formulation Size Price
7153-MSM6-P0
Purified Ab with BSA and Azide at 200ug/ml
20ug
$259.00
7153-MSM6-P1
Purified Ab with BSA and Azide at 200ug/ml
100ug
$559.00
7153-MSM6-P1ABX
Purified Ab WITHOUT BSA and Azide at 1.0mg/ml
100ug
$559.00
Flat Rate Domestic: $95 | Orders outside the US - Contact Us for Order Information | Ships next business day

Applications & Dilutions

Applications Tested Dillution Protocol Note
Immunohistochemistry (IHC)
1-2ug/ml
30 min at RT. Staining of formalin-fixed tissues requires heating tissue sections in 10mM Tris with 1mM EDTA, pH 9.0, for 45 min at 95°C followed by cooling at RT for 20 minutes

Summary

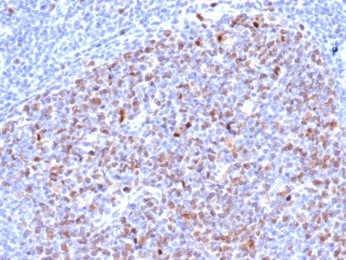
It recognizes a 170kDa protein, which is identified as topoisomerase II伪. It shows no cross-reaction with Topoisomerase II 尾 or I. Topo II 伪 plays important roles in synthesis and transcription of DNA as well as chromosomal segregation during mitosis. It is reported to be a sensitive and specific marker of late S-, G2- & M-phases in transformed and developmentally regulated normal cells. Topo II 伪 is also implicated in drug resistance of tumor cells and has been shown to be over-expressed in many human cancers. Decreased expression of Topo IIa is the predominant mechanism of resistance to several chemotherapeutic agents.

Product Properties & Targets

Host
Mouse
Applications
Species Reactivity
Research Areas
Isotype / Light Chain
IgG1 / Kappa
Cellular Localization
Cytoplasm, Nucleolus, Nucleoplasm, Nucleus
Gene Name
Positive Control
Human lymph node or tonsil.
Immunogen
Recombinant human Topoisomerase II alpha fragment (aa1352-1493)
Alternate Names
DNA topoisomerase 2-alpha, DNA topoisomerase II, alpha isozyme, ATP hydrolyzing DNA topoisomerase II alfa; DNA gyrase; DNA topoisomerase (ATP hydrolyzing); DNA topoisomerase 2 alpha; DNA topoisomerase II 170kD; DNA topoisomerase II alpha; DNA Topoisomerase2; TOP2A; Topoisomerase DNA II alpha 170kDa; TP2A

Database Links

Entrez Gene ID
SwissProt

Additional Information

Clone
rTOP2A/6629
Chromosome Location
17q21.2
Mol. Weight of Antigen
170kDa

Functions

  • Key decatenating enzyme that alters DNA topology by binding to two double-stranded DNA molecules, generating a double-stranded break in one of the strands, passing the intact strand through the broken strand, and religating the broken strand (PubMed:17567603, PubMed:18790802, PubMed:22013166, PubMed:22323612). May play a role in regulating the period length of ARNTL/BMAL1 transcriptional oscillation (By similarity).

Key References

  • Chung, T.D., et al. 1989. Characterization and immunological identification of cDNA clones encoding two human DNA topoisomerase II isozymes. Proc. Natl. Acad. Sci USA 86: 9431-9435.

PubMed Links

Storage & Stability

Antibody with azide - store at 2 to 8 °C. Antibody without azide - store at -20 to -80 °C. Antibody is stable for 24 months. Non-hazardous. No MSDS required.

Limitations

This antibody is available for research use only and is not approved for use in diagnosis.

Supplied as

200ug/ml of Ab purified from Bioreactor Concentrate by Protein A/G. Prepared in 10mM PBS with 0.05% BSA & 0.05% azide. Also available WITHOUT BSA & azide at 1.0mg/ml.

Warranty

There are no warranties, expressed or implied, which extend beyond this description. Company is not liable for any personal injury or economic loss resulting from this product.

Reviews

There are no reviews yet.

Be the first to review “Recombinant Topoisomerase II alpha (Proliferation & Drug-Resistance Marker) Antibody”

Your email address will not be published. Required fields are marked *

PARTNERSHIP OPPORTUNITIES

NeoBiotechnologies holds Exclusive rights to 10,000 recombinant and hybridoma antibody products, available for Licensing or Collaboration.

LETS TALK