
Flow Cytometric Analysis of PFA-fixed HeLa cells. TFAP2A Mouse Monoclonal Antibody (PCRP-TFAP2A-2C2) followed by goat anti-mouse IgG-CF488 (blue); unstained cells (red).

SDS-PAGE Analysis of Purified TFAP2A Mouse Monoclonal Antibody (PCRP-TFAP2A-2C2). Confirmation of Purity and Integrity of Antibody.

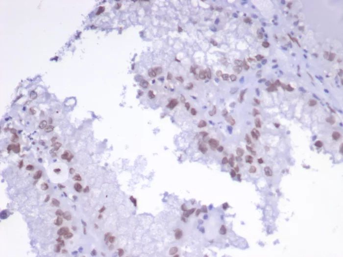
Formalin-fixed, paraffin-embedded human renal cell carcinoma stained with TFAP2A Mouse Monoclonal Antibody (PCRP-TFAP2A-2C2). HIER: Tris/EDTA, pH9.0, 45min. 2°: HRP-polymer, 30min. DAB, 5min.

Analysis of Protein Array containing more than 19,000 full-length human proteins using TFAP2A Mouse Monoclonal Antibody (PCRP-TFAP2A-2C2). Z- and S- Score: The Z-score represents the strength of a signal that a monoclonal antibody (MAb) (in combination with a fluorescently-tagged anti-IgG secondary antibody) produces when binding to a particular protein on the HuProtTM array. Z-scores are described in units of standard deviations (SD's) above the mean value of all signals generated on that array. If targets on HuProtTM are arranged in descending order of the Z-score, the S-score is the difference (also in units of SD's) between the Z-score. S-score therefore represents the relative target specificity of a MAb to its intended target. A MAb is considered to specific to its intended target, if the MAb has an S-score of at least 2.5. For example, if a MAb binds to protein X with a Z-score of 43 and to protein Y with a Z-score of 14, then the S-score for the binding of that MAb to protein X is equal to 29.
TATA-box binding protein (TBP) interactions with TBP-associated factors (TAFs) are required for the transcription of RNA polymerases. One particular TBP-TAF complex, snRNA-activating protein complex (SNAPC), is unusual in that it regulates basal transcription of both RNA polymerase II and III by binding specifically to a non-TATA-box proximal sequence element (PSE). SNAPC consists of five subunits of varying size. SNAPC binds to Oct-1 and TBP, which are activators of snRNA and RNA polymerases, respectively. The POU domain of Oct-1 binds to SNAPC 190 and effectively recruits SNAPC to the PSE. The cooperative binding of SNAPC and Oct-1 to their respective sequence elements is mediated by a nucleosome positioned between the two sequence elements. SNAPC 19 mediates the assembly of the subunits to form a functional SNAPC transcription regulator. SNAPC 50 (also designated PTFβ) contains two zinc finger motifs and binds to SNAPC 43 (also designated PTFγ) but not SNAPC 45 (PTFδ).
There are no reviews yet.