PAX3 Antibody [PAX3/8426]

In Stock
Catalog Number Formulation Size Price
5077-MSM6-P0
Purified Ab with BSA and Azide at 200ug/ml
20ug
$259.00
5077-MSM6-P1
Purified Ab with BSA and Azide at 200ug/ml
100ug
$559.00
5077-MSM6-P1ABX
Purified Ab WITHOUT BSA and Azide at 1.0mg/ml
100ug
$559.00
Flat Rate Domestic: $95 | Orders outside the US - Contact Us for Order Information | Ships next business day

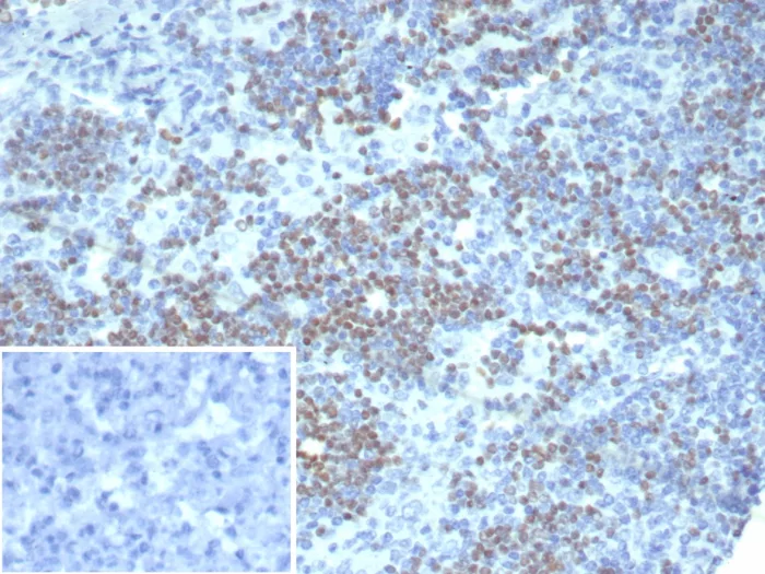
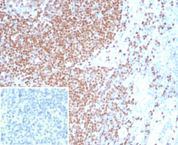
Applications & Dilutions

Applications Tested Dillution Protocol Note
Immunohistochemistry (IHC)
1-2ug/ml
30 min at RT. Staining of formalin-fixed tissues requires heating tissue sections in 10mM Tris with 1mM EDTA, pH 9.0, for 45 min at 95°C followed by cooling at RT for 20 minutes

Summary

Pax genes contain paired domains that share strong homology to genes in Drosophila which are involved in programming early development. The product of the PAX3 gene is a DNA-binding protein expressed during early neurogenesis. Pax-3 is a protein containing both a paired domain and a paired-type homeodomain. During early neurogenesis, Pax-3 expression is limited to mitotic cells in the ventricular zone of the developing spinal cord and to distinct regions in the hindbrain, midbrain and diencephalon. In 10-12 day embryos, expression of Pax-3 is also seen in neural crest cells of the developing spinal ganglia, the craniofacial mesectoderm and in limb mesenchyme. Mutations in the MITF and Pax-3 genes, encoding transcription factors, are responsible for Waardenburg syndrome II (WSII) and WSI/WSIII, respectively.

Product Properties & Targets

Antibody Type
Host
Mouse
Applications
Species Reactivity
Isotype / Light Chain
IgG1 / Kappa
Cellular Localization
Nucleus.
Gene Name
Positive Control
Human skin and skeletal muscle tissue.
Immunogen
Recombinant fragment (around aa150-350) of human PAX3 protein (exact sequence is proprietary)
Alternate Names
Paired box protein Pax-3, HuP2, CDHS; HUP2; Paired box 3; Paired box homeotic gene 3; Paired box protein Pax 3; Paired domain gene HuP2; PAX3/FKHR fusion gene; Sp; splotch; Waardenburg syndrome 1; WS1; WS3

Database Links

Entrez Gene ID
SwissProt

Additional Information

Clone
PAX3/8426
Chromosome Location
2q36.1
Mol. Weight of Antigen
56kDa

Functions

  • Transcription factor that may regulate cell proliferation, migration and apoptosis. Involved in neural development and myogenesis. Transcriptional activator of MITF, acting synergistically with SOX10 (PubMed:21965087).

Key References

  • Adachi N, et al. Development of hypobranchial muscles with special reference to the evolution of the vertebrate neck. Zoological Lett 4:5 (2018).

PubMed Links

Storage & Stability

Antibody with azide - store at 2 to 8°C. Antibody without azide - store at -20 to -80°C.Antibody is stable for 24 months. Non-hazardous. No MSDS required.

Limitations

This antibody is available for research use only and is not approved for use in diagnosis.

Supplied as

200ug/ml of Ab purified from Bioreactor Concentrate by Protein A/G. Prepared in 10mM PBS with 0.05% BSA & 0.05% azide. Also available WITHOUT BSA & azide at 1.0mg/ml.

Warranty

There are no warranties, expressed or implied, which extend beyond this description. Company is not liable for any personal injury or economic loss resulting from this product.

Reviews

There are no reviews yet.

Be the first to review “PAX3 Antibody”

Your email address will not be published. Required fields are marked *

PARTNERSHIP OPPORTUNITIES

NeoBiotechnologies holds Exclusive rights to 10,000 recombinant and hybridoma antibody products, available for Licensing or Collaboration.

LETS TALK