
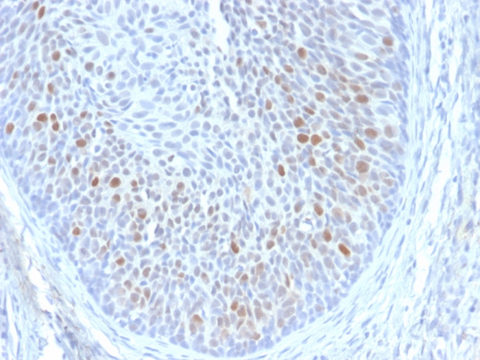
Formalin-fixed, paraffin-embedded human Cervix stained with HPV-16 Mouse Monoclonal Antibody (HPV16 E1/E4).
The human papilloma virus (HPV) family of DNA tumor viruses includes HPV16, a “high-risk” sexually-transmitted HPV that can lead to cervical, anal, vulvar, head, neck, and penile cancer. The HPV16E1/E4 protein is expressed abundantly in cells supporting viral DNA amplification but is lost during malignant progression. HPV16E1/E4 causes G2 cell cycle arrest by associating with and preventing the nuclear entry of Cdk1/cyclin B1 complexes. HPV16E1/E4 also interacts with cyclin A and Cdk2 during the G2 phase of the cell cycle, and this association may increase the efficiency with which HPV16E1/E4 is able to prevent mitotic entry. HPV16E1/E4 also associates with keratin intermediate filaments and causes the network to collapse.
There are no reviews yet.