
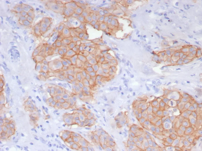
Formalin-fixed, paraffin-embedded human breast carcinoma stained with HER-2 Recombinant Rabbit Monoclonal Antibody (ERBB2/8142R). HIER: Tris/EDTA, pH9.0, 45min. 2: HRP-polymer, 30min. DAB, 5min.

Formalin-fixed, paraffin-embedded human breast carcinoma stained with HER-2 Recombinant Rabbit Monoclonal Antibody (ERBB2/8142R). HIER: Tris/EDTA, pH9.0, 45min. 2: HRP-polymer, 30min. DAB, 5min.

SDS-PAGE Analysis of Purified CD340 Recombinant Rabbit Monoclonal Antibody (ERBB2/8142R). Confirmation of Purity and Integrity of Antibody.
Recognizes a protein of 185kDa, which is identified as c-erbB-2/HER-2/neu. Its epitope is localized in the extracellular domain. C-erbB-2/HER-2 is a member of the EGFR family. This MAb is specific and shows minimal cross-reaction with other members of the EGFR-family. Receptors of this family are located on the plasma membrane and consist of an extracellular ligand-binding domain that is connected to a large intracellular domain by a single transmembrane sequence. c-erbB-2/HER-2 protein is over-expressed in a variety of carcinomas especially those of breast and ovary.
There are no reviews yet.