
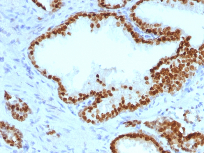
Formalin-fixed, paraffin-embedded human Prostate Carcinoma stained with FOXA1 Monoclonal Antibody (FOXA1/1241).

Formalin-fixed, paraffin-embedded human Bladder Carcinoma stained with FOXA1 Monoclonal Antibody (FOXA1/1241).

SDS-PAGE Analysis Purified FOXA1 Monoclonal Antibody (FOXA1/1241). Confirmation of Integrity and Purity of Antibody.

Flow Cytometric Analysis of PFA-fixed MCF-7 cells using FOXA1 Mouse Monoclonal Antibody (FOXA1/1241) followed by goat anti-mouse IgG-CF488 (Blue); Isotype Control (Red).

Immunofluorescence Analysis of PFA-fixed MCF-7 cells labeled with FOXA1 Mouse Monoclonal Antibody (FOXA1/1241) followed by goat anti- mouse IgG-CF488. Counterstain is RedDot.
The transcription factor Forkhead-box A1 (FOXA1), also known as hepatocyte nuclear factor 3-alpha, is a member of the FOX class of transcription factors.HNF-1 (), and HNF-6 compose, in part, a homeoprotein family designated the hepatocyte nuclear factor family. The various HNF-1 isoforms regulate transcription of genes in the liver as well as in other tissues such as kidney, small intestine and thymus. FOXA1 is expressed in normal breast ductal epithelium and other epithelium in different organs, such as lung, pancreas, bladder, prostate, and colon. Recently, FOXA1 has been shown to be a major determinant of estrogen-ER activity and endocrine response in breast cancer cells. FOXA1 expression correlates with estrogen receptor (ER)-positivity, especially in luminal subtype A breast cancers, which is associated with favorable prognosis. FOXA1 is useful in the sub-classification of breast carcinomas.
There are no reviews yet.