
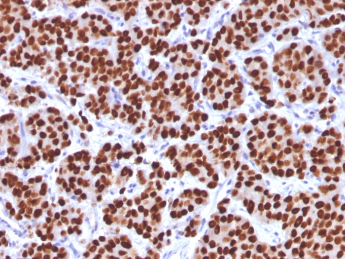
Formalin-fixed, paraffin-embedded human prostate stained with FOXA1 Mouse Monoclonal Antibody (FOXA1/1512).

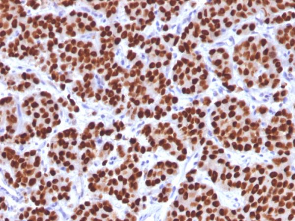
Formalin-fixed, paraffin-embedded human prostate carcinoma stained with FOXA1 Mouse Monoclonal Antibody (FOXA1/1512).

Western Blot Analysis (A) MCF-7 (B) PC3 cell lysates Using FOXA1 Mouse Monoclonal Antibody (FOXA1/1512).

SDS-PAGE Analysis Purified FOXA1 Mouse Monoclonal Antibody (FOXA1/1512). Confirmation of Integrity and Purity of Antibody.
The transcription factor Forkhead-box A1 (FOXA1), also known as hepatocyte nuclear factor 3-alpha, is a member of the FOX class of transcription factors.HNF-1 (), and HNF-6 compose, in part, a homeoprotein family designated the hepatocyte nuclear factor family. The various HNF-1 isoforms regulate transcription of genes in the liver as well as in other tissues such as kidney, small intestine and thymus. FOXA1 is expressed in normal breast ductal epithelium and other epithelium in different organs, such as lung, pancreas, bladder, prostate, and colon. Recently, FOXA1 has been shown to be a major determinant of estrogen-ER activity and endocrine response in breast cancer cells. FOXA1 expression correlates with estrogen receptor (ER)-positivity, especially in luminal subtype A breast cancers, which is associated with favorable prognosis. FOXA1 is useful in the sub-classification of breast carcinomas.
There are no reviews yet.