
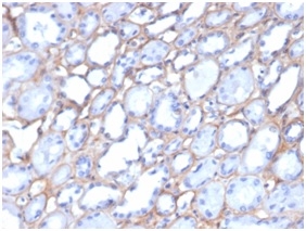
Formalin-fixed, paraffin-embedded human kidney adenocarcinoma. Strong staining of glomeruli using M3F7 at 2ug/ml in PBS for 30min RT. Inset: PBS instead of primary antibody, secondary negative control.

Formalin-fixed, paraffin-embeddedhuman kidney stained with Collagen IVMouse Monoclonal Antibody (M3F7).
Collagen Type IV is a major component of the basement membrane and plays an important role in cell adhesion, migration, differentiation and growth. Collagen Type IV express at the basement membranes in a variety of tissues including kidney, muscle, lymph nodes, lung, tendon and spleen. Collagen Type IV has been shown to be useful in differentiating microinvasive from in situ ductal carcinomas of the breast. Other Collagen Type IV studies include use in pancreatic adenocarcinoma and chronic pancreatitis, nephrosclerosis and other kidney diseases, oral squamous cell carcinoma, laryngeal cancers, ovarian cancers and cervical cancers. Type IV collagen is the major structural component of glomerular basement membranes (GBM), forming a ‘chicken-wire’ meshwork together with laminins, proteoglycans and entactin/nidogen. Arresten, comprising the C-terminal NC1 domain, inhibits angiogenesis and tumor formation. The C-terminal half is found to possess the anti-angiogenic activity. Specifically inhibits endothelial cell proliferation, migration and tube formation. Inhibits expression of hypoxia-inducible factor 1alpha and ERK1/2 and p38 MAPK activation. Ligand for alpha1/beta1 integrin. M3F7 recognizes type IV collagen in basement membranes in kidney, lung, placenta, cornea and skin. This antibody does not recognize denatured type IV collagen.
There are no reviews yet.