Recombinant Collagen IV Antibody [COL4/4241R]

In Stock
Catalog Number Formulation Size Price
1282-RBM1-P0
Purified Ab with BSA and Azide at 200ug/ml
20ug
$259.00
1282-RBM1-P1
Purified Ab with BSA and Azide at 200ug/ml
100ug
$559.00
1282-RBM1-P1ABX
Purified Ab WITHOUT BSA and Azide at 1.0mg/ml
100ug
$559.00
Flat Rate Domestic: $95 | Orders outside the US - Contact Us for Order Information | Ships next business day

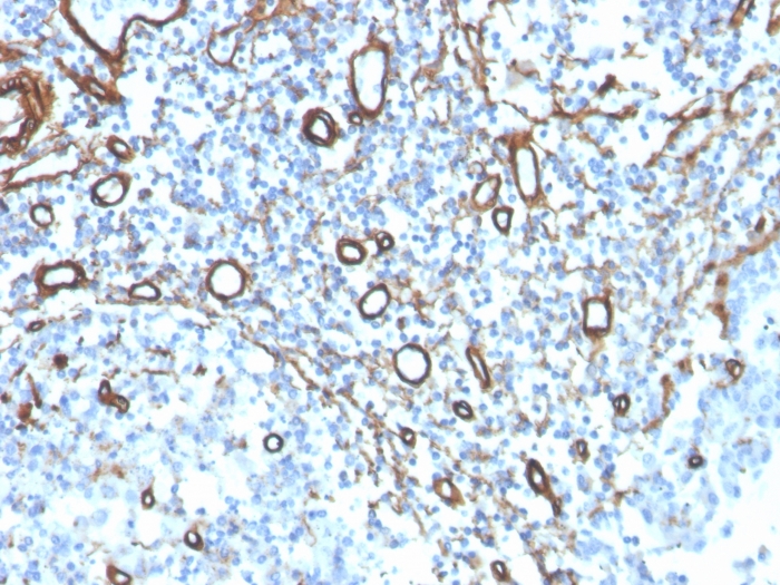
Applications & Dilutions

Applications Tested Dillution Protocol Note
Immunohistochemistry (IHC)
1-2ug/ml
30 min at RT. Staining of formalin-fixed tissues requires heating tissue sections in 10mM Tris with 1mM EDTA, pH 9.0, for 45 min at 95°C followed by cooling at RT for 20 minutes

Summary

Collagen Type IV is a major component of the basement membrane and plays an important role in cell adhesion, migration, differentiation and growth. Collagen Type IV express at the basement membranes in a variety of tissues including kidney, muscle, lymph nodes, lung, tendon and spleen. Collagen Type IV has been shown to be useful in differentiating microinvasive from in situ ductal carcinomas of the breast. Other Collagen Type IV studies include use in pancreatic adenocarcinoma and chronic pancreatitis, nephrosclerosis and other kidney diseases, oral squamous cell carcinoma, laryngeal cancers, ovarian cancers and cervical cancers.

Product Properties & Targets

Host
Rabbit
Applications
Species Reactivity
Isotype / Light Chain
IgG / Kappa
Cellular Localization
Basement membrane, Extracellular matrix, Extracellular space, Secreted
Gene Name
Positive Control
Human placenta or tonsil.
Immunogen
Purified human placental extract
Alternate Names
Collagen alpha-1(IV) chain, Arresten; BSVD; COL4A1; COL4A1 NC1 domain; COL4A2; COL4A3; COL4A4; COL4A5; collagen alpha-1(IV) chain; Collagen IV Alpha 1 Polypeptide; Collagen IV Alpha 2 Polypeptide; Collagen Type IV Alpha 2; Collagen Type IV Alpha 3; Collagen Type IV Alpha 4; Collagen Type IV Alpha 5; RATOR

Additional Information

Clone
COL4/4241R
Chromosome Location
13q34 (COL4A1 & COL4A2); 2q36.3 (COL4A3 & COL4A4); Xq22.3 (COL4A5)
Mol. Weight of Antigen
161kDa

Functions

  • Type IV collagen is the major structural component of glomerular basement membranes (GBM), forming a 'chicken-wire' meshwork together with laminins, proteoglycans and entactin/nidogen.
  • Arresten, comprising the C-terminal NC1 domain, inhibits angiogenesis and tumor formation. The C-terminal half is found to possess the anti-angiogenic activity. Specifically inhibits endothelial cell proliferation, migration and tube formation.

Key References

  • Smrkolj S et al. Eur J Gynaecol Oncol. 2010; 31(4):380- 5.

PubMed Links

Storage & Stability

Antibody with azide - store at 2 to 8°C. Antibody without azide - store at -20 to -80°C. Antibody is stable for 24 months. Non-hazardous. No MSDS required.

Limitations

This antibody is available for research use only and is not approved for use in diagnosis.

Supplied as

200ug/ml of Ab purified from Bioreactor Concentrate by Protein A/G. Prepared in 10mM PBS with 0.05% BSA & 0.05% azide. Also available WITHOUT BSA & azide at 1.0mg/ml.

Warranty

There are no warranties, expressed or implied, which extend beyond this description. Company is not liable for any personal injury or economic loss resulting from this product.

Reviews

There are no reviews yet.

Be the first to review “Recombinant Collagen IV Antibody”

Your email address will not be published. Required fields are marked *

PARTNERSHIP OPPORTUNITIES

NeoBiotechnologies holds Exclusive rights to 10,000 recombinant and hybridoma antibody products, available for Licensing or Collaboration.

LETS TALK