
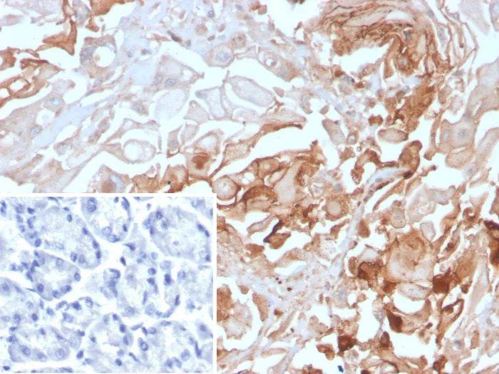
Formalin-fixed, paraffin-embedded human stomach stained with CEACAM1 Mouse Monoclonal Antibody (CEACAM1/4843). Inset: PBS instead of primary antibody; secondary only negative control.

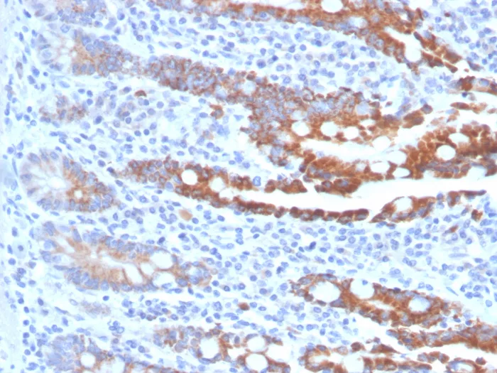
Formalin-fixed, paraffin-embedded human small intestine stained with CEACAM1 Mouse Monoclonal Antibody (CEACAM1/4843). HIER: Tris/EDTA, pH9.0, 45min. 2°C: HRP-polymer, 30min. DAB, 5min.

Analysis of Protein Array containing more than 19,000 full-length human proteins using CEACAM1 Mouse Monoclonal Antibody (CEACAM1/4843). Z- and S- Score: The Z-score represents the strength of a signal that a monoclonal antibody (MAb) (in combination with a fluorescently-tagged anti-IgG secondary antibody) produces when binding to a particular protein on the HuProtTM array. Z-scores are described in units of standard deviations (SD's) above the mean value of all signals generated on that array. If targets on HuProtTM are arranged in descending order of the Z-score, the S-score is the difference (also in units of SD's) between the Z-score. S-score therefore represents the relative target specificity of a MAb to its intended target. A MAb is considered to specific to its intended target, if the MAb has an S-score of at least 2.5. For example, if a MAb binds to protein X with a Z-score of 43 and to protein Y with a Z-score of 14, then the S-score for the binding of that MAb to protein X is equal to 29.
Carcinoembryonic antigen (CEA) is one of the most commonly used tumor markers in serum immunoassay determinations of carcinoma. Members of the CEACAM (carcinoembryonic antigen-related cell adhesion molecule) family contain a single N domain, with structural homology to the immunoglobulin variable domains, followed by a variable number of immunoglobulin constantlike A and/or B domains. CEACAM1 (carcinoembryonic antigen-related cell adhesion molecule 1), also known as BGP or BGP1, is a 526 amino acid protein that exists as seven alternatively spliced isoforms, some of which localize to the cell membranes, while others are secreted. One of several members of the CEACAM family, CEACAM1 contains one Ig-like V-type domain and three Ig-like C2-type domains and is thought to play a role in a variety of cellular activities, including angiogenesis, apoptosis, arrangement of tissue threedimensional structure and modulation of innate and adaptive immune responses. Additionally, CEACAM1 is underexpressed in colorectal cancers, suggesting a role in tumor suppression.
There are no reviews yet.