
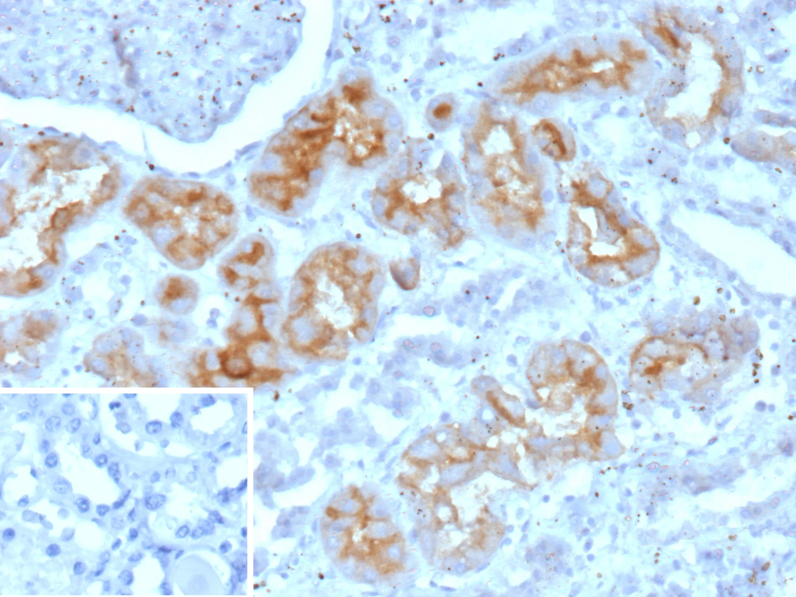
Formalin-fixed, paraffin-embedded human kidney stained with CD203c / ENPP3 Mouse Monoclonal Antibody (ENPP3/9891). Inset: PBS instead of primary antibody; secondary only negative control.
Ecto-nucleotide pyrophosphatase/phosphodiesterase-I enzymes (E-NPP), a group of type II transmembrane proteins, cleave phosphodiester and phosphosulfate bonds in deoxynucleotides, NAD, and nucleotide sugars. There exist three closely related proteins in mammalian species: E-NPP1 (PC-1), E-NPP2 (PDNP2), and E-NPP-3, also known as CD203c, each expressed in different cells or at different locations in the same cells. Basophils, a type of major proinflammatory effector cells involved in diverse pathologic reactions, exhibit CD203c expression. For instance, CD203c expression increases in response to a variety of allergens, including cat dander, latex, and bee and wasp venom. Hovever, these allergies are not the only condition associated with CD203c upregulation; CD203c upregulation may also serve as a tumor marker for colon carcinoma.
There are no reviews yet.