
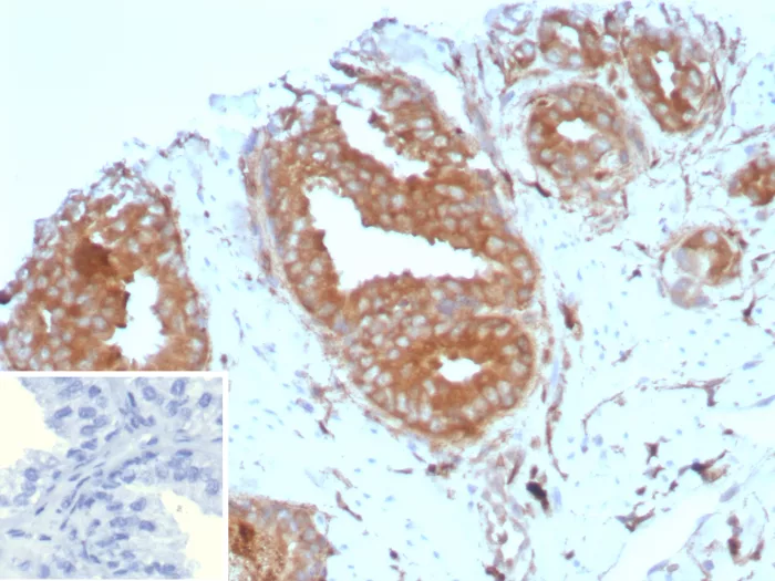
Formalin-fixed, paraffin-embedded human prostate stained with CD161 Mouse Monoclonal Antibody (KLRB1/8910). Inset: PBS instead of primary antibody; secondary only negative control.
Natural killer (NK) and T cells express a superfamily of proteins with structural features of C-type lectins. T cells bearing natural killer receptors (NKRs) such as CD94 and CD161 are present in psoriasis. CD161 mediates NK cell activation and functions as an activating receptor. CD161 is a prototypic marker of NK cells, although it is also found on a subset of CD8+ T cells. The expression of NK receptors on CD8+ T cells can be considered a marker of cytotoxic effector T cells that are expanded in vivo after antigenic activation leading to extensive proliferation. The transcription, mRNA accumulation, and surface expression of CD161, a molecule involved in triggering cytotoxicity, is specifically upregulated by IL-12.
There are no reviews yet.