
Formalin-fixed, paraffin-embedded human Lung Carcinoma stained with Beta-2-Microglobulin Mouse Recombinant Monoclonal Antibody (rB2M/961).

Formalin-fixed, paraffin-embedded human Colon Carcinoma stained with Beta-2-Microglobulin Mouse Recombinant Monoclonal Antibody (rB/961).

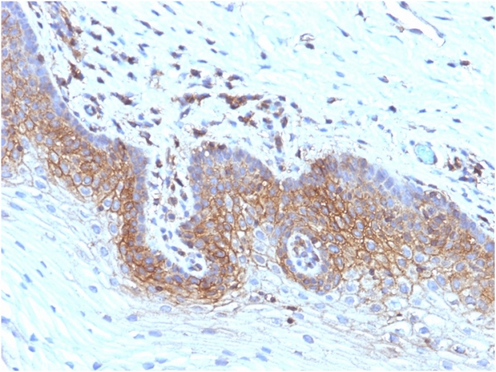
Formalin-fixed, paraffin-embedded human Cervical Carcinoma stained with Beta-2-Microglobulin Mouse Recombinant Monoclonal Antibody (rB2M/961).

SDS-PAGE Analysis Beta-2-Microglobulin Mouse Recombinant Monoclonal Antibody (rB2M/961). Confirmation of Purity and Integrity of Antibody.

Flow Cytometric Analysis of PFA-fixed HeLa cells using Beta-2-Microglobulin Mouse Recombinant MAb (rB2M/961) followed by Goat anti-Mouse IgG-CF488 (Blue); Isotype Control (Red)

Analysis of Protein Array containing more than 19,000 full-length human proteins using Beta-2 Microglobulin Mouse Recombinant Monoclonal Antibody (rB2M/961). Z- and S- Score: The Z-score represents the strength of a signal that a monoclonal antibody (MAb) (in combination with a fluorescently-tagged anti-IgG secondary antibody) produces when binding to a particular protein on the HuProtTM array. Z-scores are described in units of standard deviations (SD's) above the mean value of all signals generated on that array. If targets on HuProtTM are arranged in descending order of the Z-score, the S-score is the difference (also in units of SD's) between the Z-score. S-score therefore represents the relative target specificity of a MAb to its intended target. A MAb is considered to be specific to its intended target, if the MAb has an S-score of at least 2.5. For example, if a MAb binds to protein X with a Z-score of 43 and to protein Y with a Z-score of 14, then the S-score for the binding of that MAb to protein X is equal to 29.
Recognizes a protein of 12kDa, identified as beta-2 microglobulin. Major histocompatibility complex (MHC) class 1 molecules bind to antigens for presentation on the surface of cells. The proteasome is responsible for producing these antigens from the components of foreign pathogens. MHC class 1 molecules consist of an alpha heavy chain that contains three subdomains (alpha1, alpha2, alpha3) and a non-covalent associating light chain, known as beta-2-Microglobulin. Beta-2-Microglobulin associates with the alpha3 subdomain of the alpha heavy chain and forms an immunoglobulin domain-like structure that mediates proper folding and expression of MHC class 1 molecules. The alpha1 and alpha2 domains of the alpha heavy chain form the peptide antigen-binding cleft. Mutations in the beta-2-Microglobulin gene can enhance the progression of malignant melanoma phenotypes.
There are no reviews yet.