
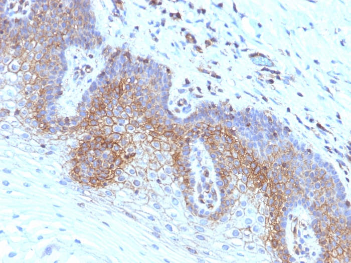
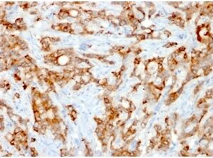
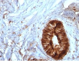
Formalin-fixed, paraffin-embedded human Cervical Carcinoma stained with Beta-2-Microglobulin Monoclonal Antibody (SPM617)

Immunofluorescent staining of HeLa cells. Beta-2-Microglobulin MAb (SPM617); followed by goat anti-mouse IgG-CF488 (Green).
Beta2 microglobulin is a 12KDa protein with a pI of 5.6. Serum beta2 microglobulin levels are a reflection of cell turnover. Levels rise with fever, inflammation, and infection. Increased serum levels are also seen in B-cell malignancies and in renal failure and may indicate a worse prognosis for patients with early-stage Hodgkin’s lymphoma. In urine, increased levels are seen in proximal renal tubular disease as well as renal transplant rejection. Beta2 microglobulin levels can rise either because its rate of synthesis has increased (e.g. in AIDS, malignant monoclonal plasma cell dyscrasia, solid tumours and autoimmune disease) or because of impaired renal filtration (e.g. due to renal insufficiency, graft rejection or nephrotoxicity induced by post-transplantation immunosuppressive therapy).
There are no reviews yet.