
Formalin-fixed, paraffin-embedded human tonsil stained with Topo IIa Recombinant Rabbit Monoclonal Antibody (TOP2A/7169R). Inset: PBS instead of primary antibody; secondary only negative control.

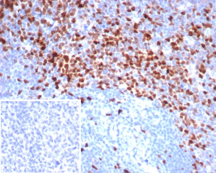
Formalin-fixed, paraffin-embedded dog lymph node stained with Topo IIa Recombinant Rabbit Monoclonal Antibody (TOP2A/7169R). HIER: Tris/EDTA, pH9.0, 45min. 2°C: HRP-polymer, 30min. DAB, 5min.
The topoisomerase II-α isoform is a 170kDa nuclear protein and plays an important role in DNA synthesis and RNA transcription, as well as chromosomal segregation during mitosis. Topoisomerase II-α is reported to be a sensitive and specific marker of late S-, G2- & M-phases in transformed and developmentally regulated normal cells, and has been shown to be over-expressed in many human cancers. Decreased expression of Topoisomerase II-α is the predominant mechanism of resistance to several chemotherapeutic agents.
There are no reviews yet.