
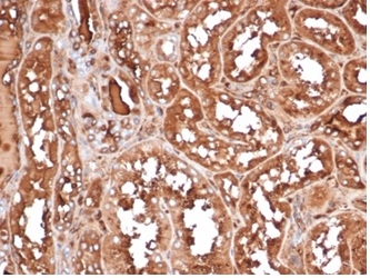
Formalin-fixed, paraffin-embedded human kidney stained with MICA Mouse Recombinant Monoclonal Antibody (MICA/4443). HIER: Tris/EDTA, pH9.0, 45min. 2°C: HRP-polymer, 30min. DAB, 5min.

Formalin-fixed, paraffin-embedded human stomach stained with MICA Mouse Recombinant Monoclonal Antibody (MICA/4443). HIER: Tris/EDTA, pH9.0, 45min. 2°C: HRP-polymer, 30min. DAB, 5min.

Analysis of Protein Array containing >19,000 full-length human proteins using MICA Mouse Recombinant Monoclonal Antibody (MICA/4443). Z- and S- Score: The Z-score represents the strength of a signal that a monoclonal antibody (MAb) (in combination with a fluorescently-tagged anti-IgG secondary antibody) produces when binding to a particular protein on the HuProtTM array. Z-scores are described in units of standard deviations (SD's) above the mean value of all signals generated on that array. If targets on HuProtTM are arranged in descending order of the Z-score, the S-score is the difference (also in units of SD's) between the Z-score. S-score therefore represents the relative target specificity of a MAb to its intended target. A MAb is considered to specific to its intended target, if the MAb has an S-score of at least 2.5. For example, if a MAb binds to protein X with a Z-score of 43 and to protein Y with a Z-score of 14, then the S-score for the binding of that MAb to protein X is equal to 29.

SDS-PAGE Analysis of Purified MICA Mouse Monoclonal Antibody(MICA/4443). Confirmation of Purity and Integrity of Antibody.
MICA and MICB are stress-induced antigens that are related to major histocompatibility complex (MHC) class I molecules. MICA and MICB are frequently expressed in epithelial tumors. These highly glycosylated cell surface proteins are stably expressed without conventional class I peptide ligands or association with β-2-microglobulin. The expression is induced on proliferating or heat shock-stressed epithelial cells. MICA and MICB are broadly recognized by intestinal epithelial Vδ1 γδ T cells expressing variable TCRs, suggesting that these antigens may play a central role in the signaling of cellular distress to evoke immune responses in the intestinal epithelium.
There are no reviews yet.