
IHC analysis of formalin-fixed, paraffin-embedded human tonsil. Negative tissue control using EGP40/8191R at 2ug/ml in PBS for 30min RT. HIER: Tris/EDTA, pH9.0, 45min. 2: HRP-polymer, 30min. DAB, 5min.

Formalin-fixed, paraffin-embedded human mammary carcinoma stained with EpCAM Rabbit Recombinant Monoclonal Antibody (EGP40/8191R). HIER: Tris/EDTA, pH9.0, 45min. 2: HRP-polymer, 30min. DAB, 5min.

IHC analysis of formalin-fixed, paraffin-embedded human bladder. EpCAM Rabbit Recombinant Monoclonal Antibody (EGP40/8191R). HIER: Tris/EDTA, pH9.0, 45min. 2: HRP-polymer, 30min. DAB, 5min.

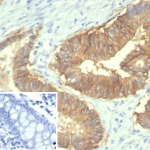
IHC analysis of formalin-fixed, paraffin-embedded human prostate carcinoma. EpCAM Rabbit Recombinant Monoclonal Antibody (EGP40/8191R). Inset: PBS instead of primary antibody; secondary only negative control.

Western blot analysis of (1) human lung, (2) mouse lung, (3) rat lung, (4) hamster lung, (5) guinea pig lung, (6) human intestine, (7) mouse intestine, (8) rat intestine, (9) hamster intestine and (10) guinea pig intestine tissue lysates using EpCAM Recombinant Rabbit Monoclonal Antibody (EGP40/8191R).
Epitope of this MAb is mapped between aa 202-212 of EGP40, which is a 40-43kDa transmembrane epithelial glycoprotein, also identified as epithelial specific antigen (ESA), or epithelial cellular adhesion molecule (Ep-CAM). It is expressed on baso-lateral cell surface in most simple epithelia and a vast majority of carcinomas. Antibody to Ep-CAM has been used to distinguish adenocarcinoma from pleural mesothelioma and hepatocellular carcinoma. This antibody is also useful in distinguishing serous carcinomas of the ovary from mesothelioma.
There are no reviews yet.