
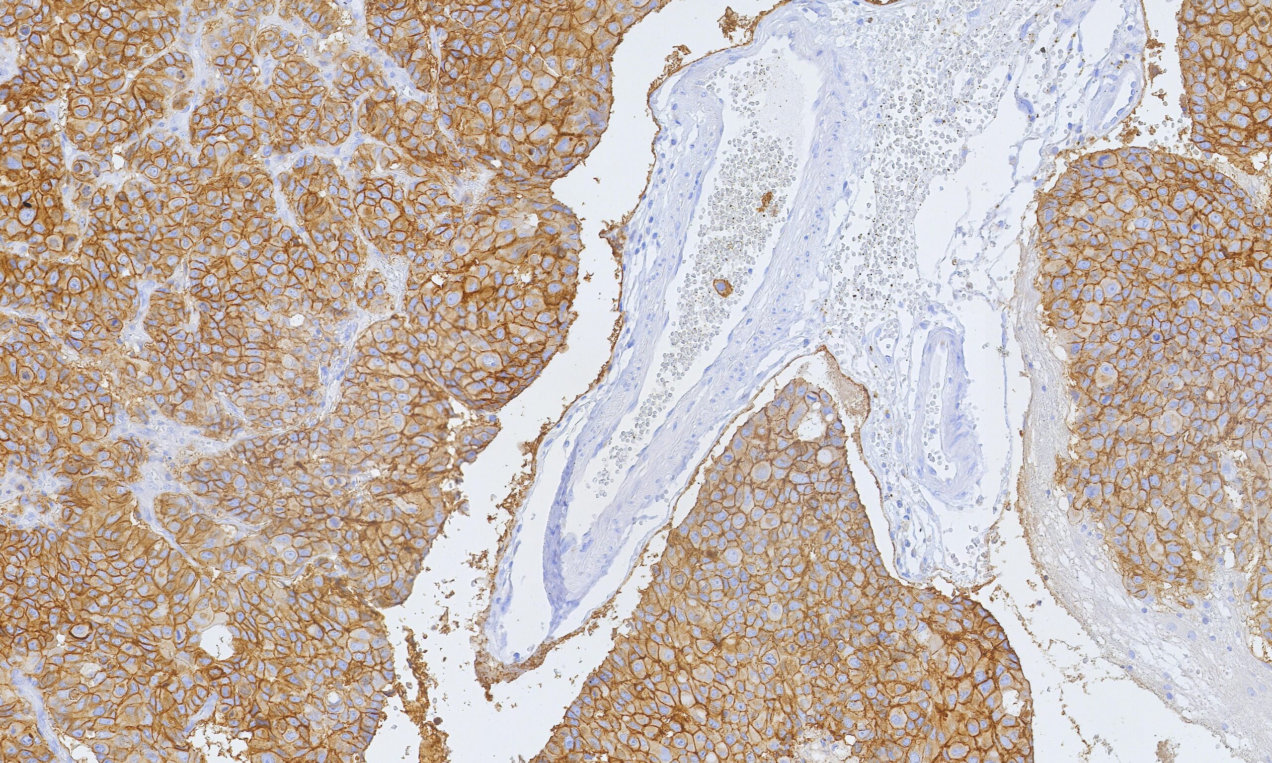
Formalin-fixed, paraffin-embedded human breast carcinoma stained with EpCAM Recombinant Rabbit Monoclonal Antibody (EGP40/9960R). Inset: PBS instead of primary antibody; secondary only negative control. HIER: Tris/EDTA, pH9.0, 45min. 2°: HRP-polymer, 30min. DAB, 5min.
Epitope of this MAb is mapped between aa 202-212 of EGP40, which is a 40-43kDa transmembrane epithelial glycoprotein, also identified as epithelial specific antigen (ESA), or epithelial cellular adhesion molecule (Ep-CAM). It is expressed on baso-lateral cell surface in most simple epithelia and a vast majority of carcinomas. Antibody to Ep-CAM has been used to distinguish adenocarcinoma from pleural mesothelioma and hepatocellular carcinoma. This antibody is also useful in distinguishing serous carcinomas of the ovary from mesothelioma.
There are no reviews yet.