
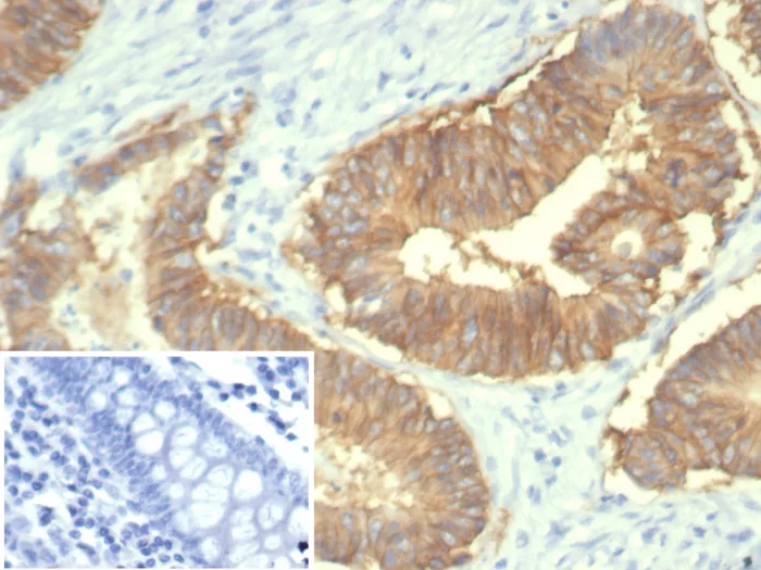
Formalin-fixed, paraffin-embedded human colon stained with EpCAM / CD326 Recombinant Mouse Monoclonal Antibody (rEGP40/7334). Inset: PBS instead of primary antibody; secondary only negative control.

Formalin-fixed, paraffin-embedded cat colon stained with EpCAM / CD326 Recombinant Mouse Monoclonal Antibody (rEGP40/7334). HIER: Tris/EDTA, pH9.0, 45min. 2°C: HRP-polymer, 30min. DAB, 5min.

Formalin-fixed, paraffin-embedded dog liver stained with EpCAM / CD326 Recombinant Mouse Monoclonal Antibody (rEGP40/7334). HIER: Tris/EDTA, pH9.0, 45min. 2°C: HRP-polymer, 30min. DAB, 5min.

Analysis of Protein Array containing >19,000 full-length human proteins using EpCAM Recombinant Mouse Monoclonal Antibody (rEGP40/7334) Z- and S- Score: The Z-score represents the strength of a signal that a monoclonal antibody (MAb) (in combination with a fluorescently-tagged anti-IgG secondary antibody) produces when binding to a particular protein on the HuProtTM array. Z-scores are described in units of standard deviations (SD's) above the mean value of all signals generated on that array. If targets on HuProtTM are arranged in descending order of the Z-score, the S-score is the difference (also in units of SD's) between the Z-score. S-score therefore represents the relative target specificity of a MAb to its intended target. A MAb is considered to specific to its intended target, if the MAb has an S-score of at least 2.5. For example, if a MAb binds to protein X with a Z-score of 43 and to protein Y with a Z-score of 14, then the S-score for the binding of that MAb to protein X is equal to 29.
EGP40 is a 40-43kDa transmembrane epithelial glycoprotein, also identified as epithelial specific antigen (ESA), or epithelial cellular adhesion molecule (Ep-CAM). It is expressed on baso-lateral cell surface in most simple epithelia and a vast majority of carcinomas. This antibody has been used to distinguish adenocarcinoma from pleural mesothelioma and hepatocellular carcinoma. This antibody is also useful in distinguishing serous carcinomas of the ovary from mesothelioma.
There are no reviews yet.