
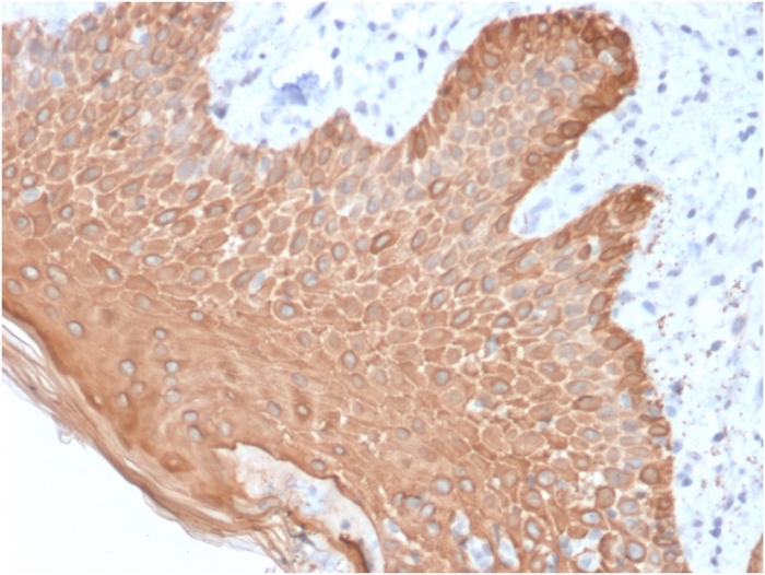
Formalin-fixed, paraffin-embedded human Skin stained with Multi-Cytokeratin Mouse Recombinant Monoclonal Antibody (rKRT/457).
Twenty human keratins are resolved with two-dimensional gel electrophoresis into acidic (pI 6.0) subfamilies. This antibody recognizes acidic (Type I or LMW) and basic (Type II or HMW) cytokeratins, including 59kDa (CK4); 58kDa (CK5); 56kDa (CK6); 52kDa (CK8); 56.5kDa (CK10); 53kDa (CK13) and 45kDa (CK18). This is a broad-spectrum antibody, which has been reported to differentiate epithelial tumors from non-epithelial tumors. Many studies have shown the usefulness of keratins as markers in cancer research and tumor diagnosis.
There are no reviews yet.