
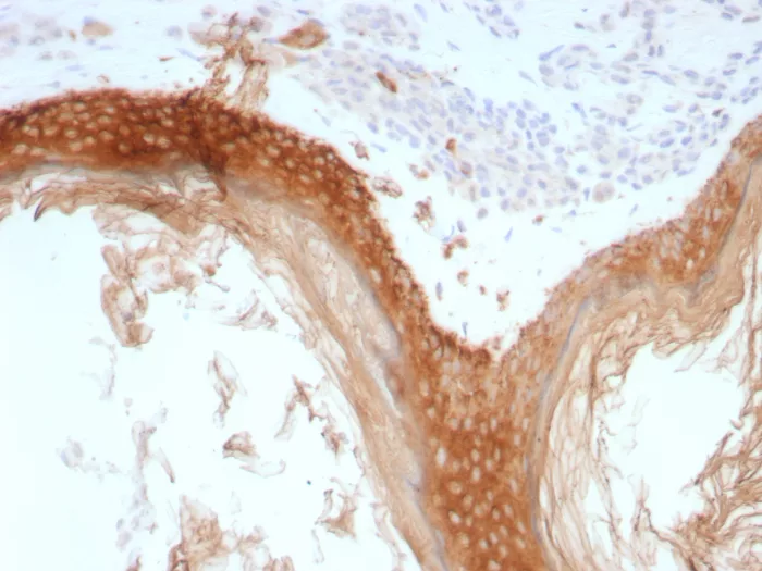
Formalin-fixed, paraffin-embedded human skin stained with Cytokeratin, HMW Recombinant Mouse Monoclonal Antibody (rKRTH/8883). HIER: Tris/EDTA, pH9.0, 45min. 2°C: HRP-polymer, 30min. DAB, 5min.
This MAb recognizes basic (Type II or HMW) cytokeratins, which include 67kDa (CK1); 64kDa (CK3); 59kDa (CK4); 58kDa (CK5); 56kDa (CK6); 52kDa (CK8). Twenty human keratins are resolved with two-dimensional gel electrophoresis into acidic (pI 6.0) subfamilies. The acidic keratins have molecular weights (MW) of 56.5, 55, 51, 50, 50 , 48, 46, 45, and 40kDa. MAb AE3 recognizes the 65-67, 64, 59, 58, 56, and 52kDa keratins of basic subfamily. Many studies have shown the usefulness of keratins as markers in cancer research and tumor diagnosis.
There are no reviews yet.