
Flow Cytometric Analysis of Raji Cells. using CD20 Mouse MAb (L26) followed by Goat anti-mouse IgG-CF488 (Blue); Isotype Control (Red).

SDS-PAGE Analysis Purified CD20 Mouse Monoclonal Antibody (L26). Confirmation of Integrity and Purity of Antibody.
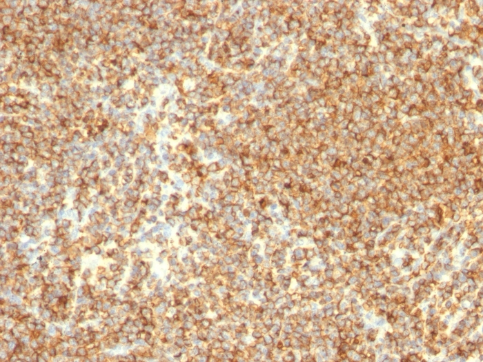
Recognizes a protein of 30-33kDa, which is identified as CD20. Its epitope is located in the cytoplasmic domain of CD20 and was, therefore, ascribed as CD20cy in the 5th Workshop. CD20 is a non-Ig differentiation antigen of B-cells and its expression is restricted to normal and neoplastic B-cells, being absent from all other leukocytes and tissues. CD20 is expressed by pre B-cells and persists during all stages of B-cell maturation but is lost upon terminal differentiation into plasma cells. This MAb can be used for immunophenotyping of leukemia and malignant cells, B lymphocyte detection in peripheral blood and B cell localization in tissues. It reacts with the majority of B-cells present in peripheral blood and lymphoid tissues and their derived lymphomas. In lymphoid tissue, germinal center blasts and B-immunoblasts are particularly reactive. It is a reliable antibody for ascribing a B-cell phenotype in known lymphoid tissues. Rarely, CD20-positive T-cell lymphomas have been reported. Reactivity has also been noted with Reed-Sternberg cells in cases of Hodgkin s disease, particularly of lymphocyte predominant type.
There are no reviews yet.