Carcinoembryonic Antigen, pan (CEA) Antibody [Cocktail]

In Stock
Catalog Number Formulation Size Price
1048-MSM9-P0
Purified Ab with BSA and Azide at 200ug/ml
20ug
$259.00
1048-MSM9-P1
Purified Ab with BSA and Azide at 200ug/ml
100ug
$559.00
1048-MSM9-P1ABX
Purified Ab WITHOUT BSA and Azide at 1.0mg/ml
100ug
$559.00
Flat Rate Domestic: $95 | Orders outside the US - Contact Us for Order Information | Ships next business day

Applications & Dilutions

Applications Tested Dillution Protocol Note
Flow Cytometry (Flow)
1-2ug/million cells
Immunofluorescence (IF)
1-3ug/ml
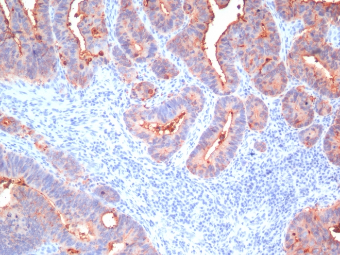
Immunohistochemistry (IHC)
1-2ug/ml
30 min at RT. Staining of formalin-fixed tissues requires heating tissue sections in 10mM Tris with 1mM EDTA, pH 9.0, for 45 min at 95°C followed by cooling at RT for 20 minutes

Summary

This antibody recognizes proteins of 80-200kDa, identified as different members of CEA family. CEA is synthesized during development in the fetal gut and is re-expressed in increased amounts in intestinal carcinomas and several other tumors. This MAb does not react with nonspecific cross-reacting antigen (NCA) and with human polymorphonuclear leucocytes. It shows no reaction with a variety of normal tissues and is suitable for staining of formalin/paraffin tissues. CEA is not found in benign glands, stroma, or malignant prostatic cells. Antibody to CEA is useful in detecting early foci of gastric carcinoma and in distinguishing pulmonary adenocarcinomas (60-70% are CEA+) from pleural mesotheliomas (rarely or weakly CEA+). Anti-CEA positivity is seen in adenocarcinomas from the lung, colon, stomach, esophagus, pancreas, gallbadder, urachus, salivary gland, ovary, and endocervix.

Product Properties & Targets

Antibody Type
Host
Mouse
Species Reactivity
Research Areas
Isotype / Light Chain
IgG / Kappa
Cellular Localization
Apical cell membrane, Cell membrane, Cell surface
Gene Name
Positive Control
MCF7 or 293T cells. Human colon carcinoma.
Immunogen
Human CEA protein
Alternate Names
Carcinoembryonic antigen-related cell adhesion molecule 5, Carcinoembryonic antigen, Meconium antigen 100, Carcinoembryonic Antigen-related Cell Adhesion Molecule 5, CEACAM5, CD66, Biliary Glycoprotein (BGP-1)

Database Links

Entrez Gene ID
SwissProt

Additional Information

Clone
Cocktail
Chromosome Location
19q13.2
Mol. Weight of Antigen
80-200kDa

Functions

  • Cell surface glycoprotein that plays a role in cell adhesion, intracellular signaling and tumor progression (PubMed:2803308, PubMed:10910050, PubMed:10864933). Mediates homophilic and heterophilic cell adhesion with other carcinoembryonic antigen-related cell adhesion molecules, such as CEACAM6 (PubMed:2803308). Plays a role as an oncogene by promoting tumor progression; induces resistance to anoikis of colorectal carcinoma cells (PubMed:10910050).
  • (Microbial infection) Receptor for E.coli Dr adhesins. Binding of E.coli Dr adhesins leads to dissociation of the homodimer.

Key References

  • Muraro R, et. al. Cancer Research, 1985, 45:5769-80.
  • Siler K, et. al. Biotechnology Therapeutics, 1993, 4(3-4):163-81.
  • Robbins PF, et. al. International Journal of Cancer, 1993, 53(6):892-7.
  • Shi ZR, et. al. Journal of Histochemistry and Cytochemistry, 1994, 42(9):1215-9.

Storage & Stability

Antibody with azide - store at 2 to 8 °C. Antibody without azide - store at -20 to -80 °C. Antibody is stable for 24 months. Non-hazardous. No MSDS required.

Limitations

This antibody is available for research use only and is not approved for use in diagnosis.

Supplied as

200ug/ml of Ab purified from Bioreactor Concentrate by Protein A/G. Prepared in 10mM PBS with 0.05% BSA & 0.05% azide. Also available WITHOUT BSA & azide at 1.0mg/ml.

Warranty

There are no warranties, expressed or implied, which extend beyond this description. Company is not liable for any personal injury or economic loss resulting from this product.

Reviews

There are no reviews yet.

Be the first to review “Carcinoembryonic Antigen, pan (CEA) Antibody”

Your email address will not be published. Required fields are marked *

PARTNERSHIP OPPORTUNITIES

NeoBiotechnologies holds Exclusive rights to 10,000 recombinant and hybridoma antibody products, available for Licensing or Collaboration.

LETS TALK