BRAF (V600E Mutant Specific) (Prognostic Marker) Antibody [V600E/1322]

In Stock
Catalog Number Formulation Size Price
673-MSM2-P0
Purified Ab with BSA and Azide at 200ug/ml
20ug
$259.00
673-MSM2-P1
Purified Ab with BSA and Azide at 200ug/ml
100ug
$559.00
673-MSM2-P1ABX
Purified Ab WITHOUT BSA at 1.0mg/ml
100ug
$559.00
Flat Rate Domestic: $95 | Orders outside the US - Contact Us for Order Information | Ships next business day

Summary

The �BRAF �gene encodes a cytoplasmic serine-threonine kinase, which initiates the activation of the mitogen-activated protein kinase (MAPK) signalling pathway. The oncogenic mutations in the kinase region of BRAF gene result in constitutive activation of the MAPK signalling pathway, leading to increased cell proliferation, resistance to apoptosis and tumor progression. The most common of all activating BRAF mutations leads to a substitution of valine (V) to glutamic acid (E) at the position 600 of the amino acid sequence. The �BRAF �V600E mutation is an important predictive and prognostic biomarker. The BRAF V600E mutation is detected in approximately 8% of all solid tumours, including 45% of papillary thyroid carcinomas, 40-60% of melanomas, 5-15% of colorectal adenocarcinomas, 35% of serous low grade and borderline ovarian carcinomas, 1-3% of non-small cell lung cancers, and 5-7% of cholangiocarcinomas. �Furthermore, the BRAF V600E mutation is found in 100% of hairy cell leukaemia, �54% Erdheim-Chester disease, 38% of Langerhans cell histocytoses �and 60% of pleomorphic xanthoastrocytomas. �

Product Properties & Targets

Antibody Type
Host
Mouse
Applications
Species Reactivity
Isotype / Light Chain
IgG / Kappa
Cellular Localization
Nucleus. Cytoplasm. Cell membrane. Colocalizes with RGS14 and RAF1 in both the cytoplasm and membranes.
Gene Name
Positive Control
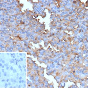
A431|Jurkat or HeLa cells. Human melanoma or colon carcinoma.
Immunogen
An eleven amino acid residue long synthetic peptide (aa596-606), corresponding to Cys-GLAT(E)KSRWSG from human BRAF protein. It was conjugated to KLH at the N-terminus.
Alternate Names
Serine/threonine-protein kinase B-raf, Proto-oncogene B-Raf, p94, v-Raf murine sarcoma viral oncogene homolog B1, FLJ95109; 94 kDa B raf protein; B Raf proto oncogene, serine/threonine kinase; B RAF1; B-Raf proto-oncogene serine/threonine-protein kinase (p94); BRAF 1; BRAF; BRAF1; cRmil; MGC126806; MGC138284; Murine sarcoma viral (v-raf) oncogene homolog B1; NS7; oncogene BRAF1; p94; Proto-oncogene B-Raf; Proto-oncogene c-Rmil; RAFB1; RMIL; Serine/threonine-protein kinase B-raf; v-Raf murine sarcoma viral oncogene homolog B1

Database Links

Entrez Gene ID
673
SwissProt

Additional Information

Clone
V600E/1322
Chromosome Location
7q34
Mol. Weight of Antigen
35kDa (predicted)

Functions

  • Protein kinase involved in the transduction of mitogenic signals from the cell membrane to the nucleus (Probable). Phosphorylates MAP2K1, and thereby activates the MAP kinase signal transduction pathway (PubMed:21441910, PubMed:29433126). Phosphorylates PFKFB2 (PubMed:36402789). May play a role in the postsynaptic responses of hippocampal neurons (PubMed:1508179).

Key References

  • Dvorak, Katerinaet al. Immunohistochemistry with the anti-BRAF V600E (VE1) antibody: impact of pre-analytical conditions and concordance with DNA sequencing in colorectal and papillary thyroid carcinoma. Pathology, 2014, 46(6): 509-517.

PubMed Links

Storage & Stability

Antibody with azide - store at 2 to 8°C. Antibody without azide - store at -20 to -80°C.Antibody is stable for 24 months. Non-hazardous. No MSDS required.

Limitations

This antibody is available for research use only and is not approved for use in diagnosis.

Supplied as

200ug/ml of Ab purified from rabbit anti-serum by Protein A. Prepared in 10mM PBS with 0.05% BSA & 0.05% azide. Also available WITHOUT BSA at 1.0mg/ml.

Warranty

There are no warranties, expressed or implied, which extend beyond this description. Company is not liable for any personal injury or economic loss resulting from this product.

Reviews

There are no reviews yet.

Be the first to review “BRAF (V600E Mutant Specific) (Prognostic Marker) Antibody”

Your email address will not be published. Required fields are marked *

PARTNERSHIP OPPORTUNITIES

NeoBiotechnologies holds Exclusive rights to 10,000 recombinant and hybridoma antibody products, available for Licensing or Collaboration.

LETS TALK