
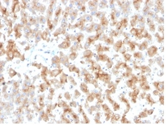
Formalin-fixed, paraffin-embedded human liver stained with Apolipoprotein D Mouse Monoclonal Antibody (APOD/3415).

SDS-PAGE Analysis of Purified Apolipoprotein D Mouse Monoclonal Antibody (APOD/3415). Confirmation of Purity and Integrity of Antibody.

Analysis of Protein Array containing more than 19,000 full-length human proteins using Mouse Monoclonal Antibody (APOD/3415) Monospecific to Apolipoprotein D. Z- and S- Score: The Z-score represents the strength of a signal that a monoclonal antibody (MAb) (in combination with a fluorescently-tagged anti-IgG secondary antibody) produces when binding to a particular protein on the HuProtTM array. Z-scores are described in units of standard deviations (SD's) above the mean value of all signals generated on that array. If targets on HuProtTM are arranged in descending order of the Z-score, the S-score is the difference (also in units of SD's) between the Z-score. S-score therefore represents the relative target specificity of a MAb to its intended target. A MAb is considered to specific to its intended target, if the MAb has an S-score of at least 2.5. For example, if a MAb binds to protein X with a Z-score of 43 and to protein Y with a Z-score of 14, then the S-score for the binding of that MAb to protein X is equal to 29.
Lipids, such as phospholipids, triacylglycerols and cholesterol, are weakly soluble in aqueous solution and therefore are transported by circulation as components of lipoproteins. Lipoproteins are globular particles that consist of a non-polar core of triacylglycerols and cholesteryl esters surrounded by phospholipid, cholesterol and an amphiphilic coating of protein, known as apolipoproteins (apo). These complexes allow the dissolution and shuttling of their non-polar lipid components. At least nine different apolipoproteins are distributed in significant amounts in different human lipoproteins. Apolipoprotein D (apoD) is a member of the lipocalin superfamily of transporter proteins that bind small hydrophobic molecules, including arachidonic acid (AA). The ability of apoD to bind AA implicates it in pathways associated with membrane phospholipid signal transduction and metabolism. apoD expression has been shown to correlate both with cell cycle arrest and with prognosis in several types of malignancy, including central nervous system astrocytomas and medulloblastomas.
There are no reviews yet.