
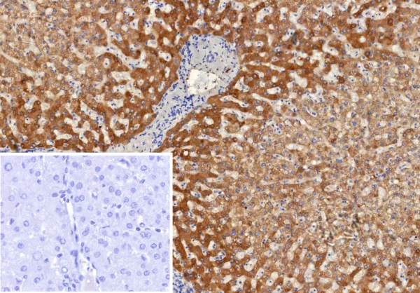
Formalin-fixed, paraffin-embedded human liver stained with Alpha-2-Macroglobulin Mouse Monoclonal Antibody (A2M/6553). Inset: PBS instead of primary antibody; secondary only negative control.

SDS-PAGE Analysis Purified Alpha-2-Macroglobulin Mouse Monoclonal Antibody (A2M/6553). Confirmation of Purity and Integrity of Antibody.

Analysis of Protein Array containing more than 19,000 full-length human proteins using Alpha-2-Macroglobulin Mouse Monoclonal Antibody (A2M/6553). Z- and S- Score: The Z-score represents the strength of a signal that a monoclonal antibody (MAb) (in combination with a fluorescently-tagged anti-IgG secondary antibody) produces when binding to a particular protein on the HuProtTM array. Z-scores are described in units of standard deviations (SD’s) above the mean value of all signals generated on that array. If targets on HuProtTM are arranged in descending order of the Z-score, the S-score is the difference (also in units of SD’s) between the Z-score. S-score therefore represents the relative target specificity of a MAb to its intended target. A MAb is considered to specific to its intended target, if the MAb has an S-score of at least 2.5. For example, if a MAb binds to protein X with a Z-score of 43 and to protein Y with a Z-score of 14, then the S-score for the binding of that MAb to protein X is equal to 29.
α-2-Macroglobulin (α-2M) is a homotetrameric serum protein consisting of four identical subunits that form dimers through disulfide bonds. Initially, α-2M was characterized as a pan-proteinase inhibitor that was able to bait proteinases into cleaving specific peptide sequences on α-2M. This interaction induces a conformational change in α-2M, thus enabling it to trap the proteinase and further inhibit its activity. Subsequently, α-2M has been shown to function as a carrier protein and regulator of cytokines during inflammation. Circulating transforming growth factor β (TGFβ) in serum is primarily bound to α-2M, which renders TGFβ inactive. α-2M also binds to IL-6 and, thereby, increases the concentration of IL-6 near lymphocytes, hepatocytes and stem cells involved in mediating the inflammatory cascade. Mutations and deletions in the gene encoding α-2M are associated with an increased incidence of Alzheimer s disease (AD), which is consistent with the role of α-2M in mediating the clearance and degradation of A β, the major component of β-Amyloid deposits accumulated during AD.
There are no reviews yet.