
SDS-PAGE Analysis Purified AKR1B1 Mouse Monoclonal Antibody (CPTC-AKR1B1-2). Confirmation of Purity and Integrity of Antibody.

Immunofluorescence Analysis of A549 cells labeling AKR1B1. AKR1B1 Mouse Monoclonal Antibody (CPTC-AKR1B1-2) followed by goat anti-mouse IgG-CF488. Nuclei stained with RedDot (blue).

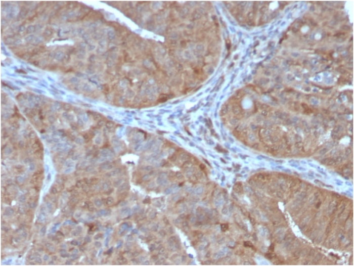
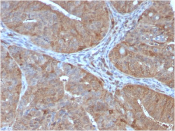
Formalin-fixed, paraffin-embedded human prostate stained with AKR1B1 Mouse Monoclonal Antibody (CPTC-AKR1B1-2).

Analysis of Protein Array containing more than 19,000 full-length human proteins using AKR1B1Mouse Monoclonal Antibody (CPTC-AKR1B1-2). Z- and S- Score: The Z-score represents the strength of a signal that a monoclonal antibody (MAb) (in combination with a fluorescently-tagged anti-IgG secondary antibody) produces when binding to a particular protein on the HuProtTM array. Z-scores are described in units of standard deviations (SD's) above the mean value of all signals generated on that array. If targets on HuProtTM are arranged in descending order of the Z-score, the S-score is the difference (also in units of SD's) between the Z-score. S-score therefore represents the relative target specificity of a MAb to its intended target. A MAb is considered to specific to its intended target, if the MAb has an S-score of at least 2.5. For example, if a MAb binds to protein X with a Z-score of 43 and to protein Y with a Z-score of 14, then the S-score for the binding of that MAb to protein X is equal to 29.
AKR1B1, also deisgnated as aldose reductase, is a member of the aldo/keto reductase superfamily, which consists of more than 40 known enzymes and proteins. This protein catalyzes the reduction of a number of aldehydes, including the aldehyde form of glucose, and is thereby implicated in the development of diabetic complications by catalyzing the reduction of glucose to sorbitol. It has also been shown to have decreased expression in adrenocortical cancer, and possibly play a role in adrenal tumorigenesis. It has been suggested that AKR1B1 could be investigated as a marker of malignancy for adrenal tumor diagnosis.
There are no reviews yet.